Что такое профессиональная чистка зубов?
Профессиональная чистка зубов — это гигиеническая процедура, которую проводит гигиенист в клинике. Её цель — удаление твёрдых (зубной камень) и мягких (налёт, пигментация) отложений.
Гигиенист с помощью современного оборудования очищает поверхности зубов и межзубные промежутки даже в тех зонах, где обычная щётка не справляется. Это один из самых надёжных способов профилактики кариеса, гингивита и пародонтита, поскольку процедура устраняет среду для размножения бактерий.
Когда нужно делать профессиональную чистку зубов?
Профессиональная чистка рекомендована 1–2 раза в год. Но есть ситуации, когда откладывать нельзя — тогда процедуру советуют проводить чаще, каждые 3–4 месяца.

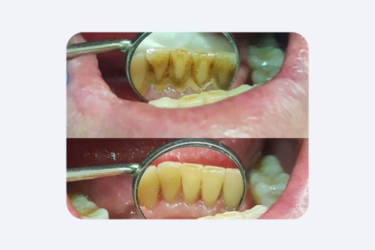
Быстрое образование камня и налета
Если после чистки зубы быстро покрываются отложениями, это сигнал, что нужен профессиональный контроль. Такие отложения дома удалить невозможно.

Заболевания десен (гингивит, пародонтит)
При воспалении десен требуется чистка, чтобы удалить зубной камень и раздражители, которые поддерживают болезнь. Это уменьшает кровоточивость.

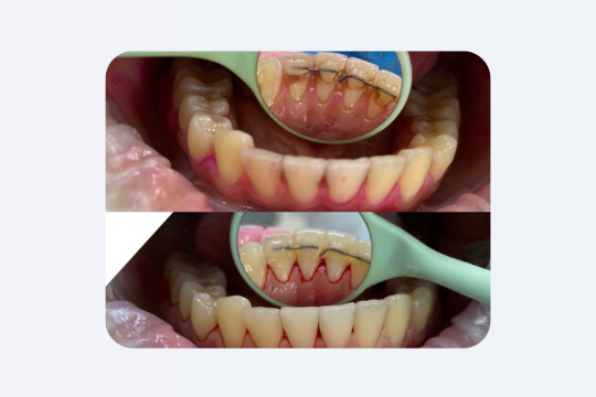
Брекеты или другие ортодонтические аппараты
На замках и дугах скапливается налет, который трудно удалить в домашних условиях. Поэтому пациентам с брекетами чистку проводят чаще.

Наличие имплантов, коронок или мостов
Вокруг реставраций и протезов быстро скапливаются бактерии. Регулярная чистка помогает сохранить десны здоровыми и избежать осложнений.

Перед стоматологическими процедурами
Чистка обязательна перед отбеливанием, установкой брекетов или имплантацией. Она повышает эффективность и безопасность этих процедур.

Неприятный запах изо рта или потемнение эмали
Если появился запах или зубы потеряли блеск — это признак того, что налет и камень накопились слишком сильно. Чистка нужна как можно раньше.
Как проходит профессиональная чистка зубов
Любая профессиональная чистка начинается с осмотра у врача-стоматолога, который оценивает состояние зубов и дёсен. Только после этого к работе приступает гигиенист. В процессе он последовательно выполняет все этапы очищения, а по завершении стоматолог повторно осматривает полость рта, чтобы убедиться в результате.
В конце гигиенист даёт индивидуальные рекомендации по уходу дома. Также пациент получает новую зубную щётку, поскольку старая (которой пользовались до процедуры) уже содержит бактерии и должна быть заменена. Вся процедура занимает около 30–60 минут.
Этап 1. Ультразвуковое удаление камня
Этап 2. Чистка зубов по технологии AIRFLOW®
Этап 3. Полировка пастами
Этап 4. Реминерализация
Наши преимущества
EMS AIRFLOW® Prophylaxis Master
Технология «No Pain» Piezon
Специальные насадки Perioflow и PI
Стоимость чистки зубов
Чистка зубов по технологии AIRFLOW®
900 грн
Профессиональная гигиена детская
2500 грн
Профессиональная гигиена для взрослых
от 2900 грн
Расположение клиник в Киеве
Удобнее всего добраться до наших стоматологических клиник из следующих районов Киева:
В клинику по адресу: Киев, ул. Новомостицкая, 25 Б — Виноградарь, Куренёвка, Оболонь, Сырец, Минский массив.
В клинику по адресу: Киев, ул. Подвысоцкого, 20 — Печерский район, ст. метро Зверинецкая.
В клинику по адресу: Киев, ул. Ёлочная, 60/1 — Харьковский массив, ст. метро Бориспольская, Красный Хутор, Вырлица, Харьковская.
Особенности профессиональной чистки зубов
При наличии имплантов
При ношении брекетов
Для коронок и виниров
Для мостовидных протезов
Частые вопросы о профессиональной чистке зубов
Больно ли делать профессиональную чистку зубов?
В большинстве случаев профессиональная чистка проходит без боли. Во время процедуры используются ультразвуковые скейлеры и технология AIRFLOW®, которые воздействуют на зубной камень и бактериальный налет, не повреждая эмаль.
Неприятные ощущения возможны при воспалении десен, оголении шеек зубов или повышенной чувствительности. В таких случаях гигиенист работает в щадящем режиме, при необходимости применяется местное обезболивание. Такой подход соответствует современным клиническим рекомендациям профилактической стоматологии.
Как часто нужно делать профессиональную чистку зубов?
Стандартная рекомендация — 1–2 раза в год. За этот период мягкий зубной налет частично минерализуется и превращается в зубной камень, который невозможно удалить обычной щеткой или ирригатором.
Пациентам с брекетами, имплантами, заболеваниями десен, склонностью к быстрому образованию камня или курящим чистку рекомендуют каждые 3–4 месяца. Частота всегда определяется индивидуально после осмотра.
Вредит ли профессиональная чистка эмали?
Профессиональная чистка не повреждает эмаль, если выполняется по современным протоколам. Ультразвук и AIRFLOW® действуют избирательно — разрушают камень и бактериальную биопленку, не влияя на здоровые ткани зуба.
Регулярная профессиональная гигиена снижает риск кариеса, гингивита и пародонтита, поскольку устраняет основную причину этих заболеваний — бактериальный налет.
Почему после чистки может появиться чувствительность зубов?
После профессиональной чистки чувствительность может временно усиливаться, поскольку с поверхности зубов и из-под десен удаляется камень, который ранее частично изолировал чувствительные участки.
Это нормальная кратковременная реакция, которая обычно проходит в течение нескольких дней. Именно поэтому завершающим этапом процедуры является реминерализация, которая снижает чувствительность и укрепляет эмаль.
Помогает ли профессиональная чистка избавиться от неприятного запаха изо рта?
В большинстве случаев да. Основной причиной неприятного запаха являются бактерии, которые накапливаются в зубном камне и под деснами. Профессиональная чистка удаляет эти отложения и снижает бактериальную нагрузку.
Если после чистки запах сохраняется, это может свидетельствовать о заболеваниях десен или других медицинских причинах, требующих дополнительной диагностики.
Можно ли делать профессиональную чистку при имплантах, коронках или винирах?
Да, и это необходимо. При наличии имплантов и реставраций особенно важно регулярно удалять налет, чтобы предотвратить воспаление десен и развитие периимплантита.
Для таких пациентов используются специальные порошки AIRFLOW (глицин или эритритол), деликатные ультразвуковые режимы и насадки, которые не повреждают титан, керамику или композитные материалы.