Пациентка, 73 года, обратилась к нам со сложной проблемой. Часть зубов отсутствовала, другие — были подвижными. У неё уже были съёмные протезы, но пользоваться ими было неудобно: они плохо фиксировались, мешали есть и не позволяли уверенно улыбаться.
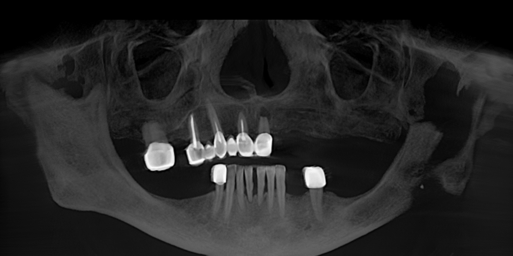
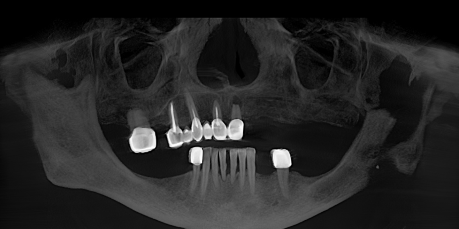
Мы провели осмотр и компьютерную томографию, чтобы оценить состояние кости и оставшихся зубов. Выяснилось: несколько зубов ещё можно сохранить, но значительную часть необходимо было удалять. На основе диагностики мы предложили комплексный план лечения.
План лечения:
- Провести профессиональную гигиену полости рта.
- Выполнить повторное эндолечение зубов, которые остаются.
- Удалить 4 подвижных зуба и снять старые мостовидные конструкции.
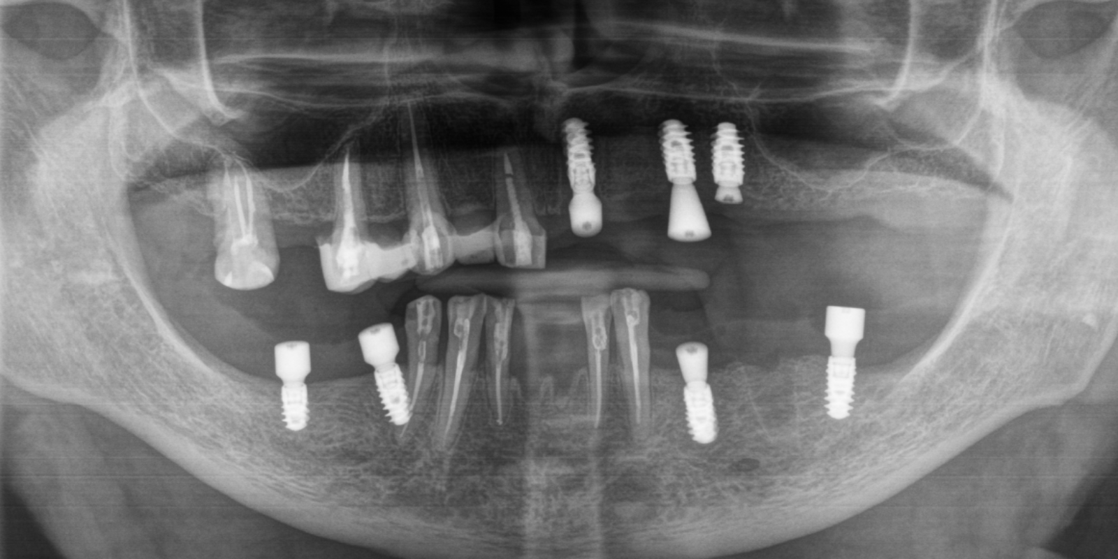
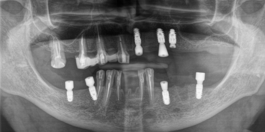
- Установить 7 имплантатов Straumann BLX (3 на верхней челюсти слева, 2 слева внизу, 2 справа внизу).
- Сделать временные коронки. Создать мокап и далее изготовить постоянные керамические реставрации.
Пациентка согласилась, и мы начали лечение.
Профессиональная гигиена, лечение зубов
Хирургия (удаление 4 зубов)
Имплантация
Мокап и примерка
Временное протезирование
Постоянное протезирование
Підсумок
Пациентка получила новую улыбку — прочную, стабильную и эстетичную. Она снова может есть без боли и ограничений, улыбаться без стеснения.
✨ Этот случай доказывает: даже в 73 года можно установить современные имплантаты и полностью восстановить улыбку. Возраст — не препятствие, если есть желание жить качественно.
👉 Если вы тоже давно откладываете лечение, запишитесь на консультацию. Мы подберём решение именно для вас — надёжное, комфортное и эстетичное.
