В нашу клинику обратилась пациентка со следующими жалобами: эстетический дефект фронтального участка верхних зубов, сложности при пережевывании пищи и ненадежная фиксация мостовидного протеза на верхней челюсти. По словам пациентки, около 5 лет назад ей провели протезирование передних зубов верхней челюсти, но эта конструкция регулярно расцементировалась.
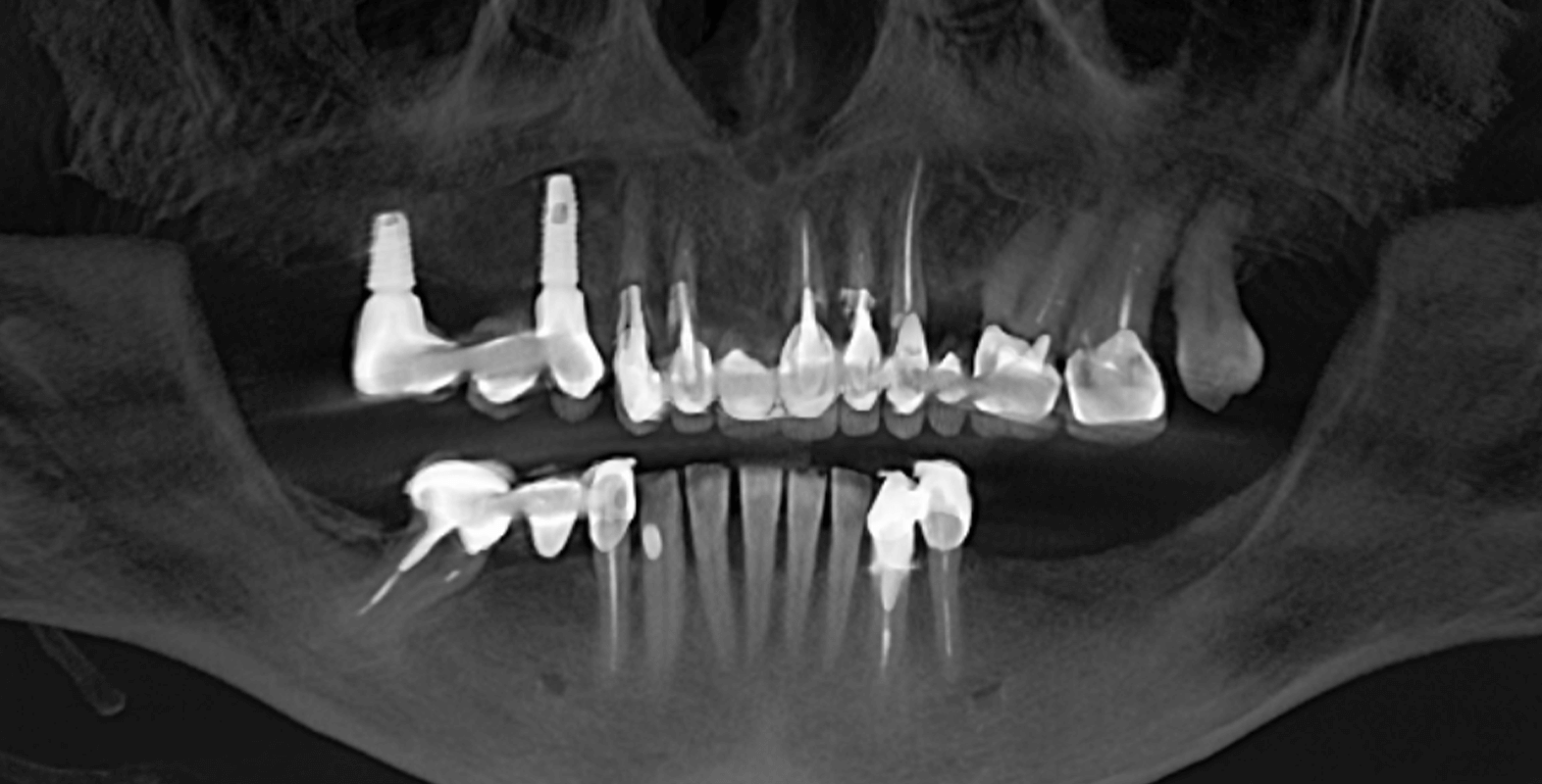
После анализа данных полученных путем компьютерной томографии и при очном осмотре было обнаружено:
- Установленный мостовидный протез на зубах 4.4 и 4.6 (зуб 4.5 отсутствует).
- Зубные коронки на зубах 3.3 и 3.4
- Зубы 3.6 и 3.7 отсутствуют.
- Имплантаты в области недостающих зубов 1.4, 1.6 и металлокерамический мостовидный протез на них с винтовой фиксацией.
- На зубах 1.3, 1.2, 2.1, 2.2, 2.3, 2.6 и 2.7 (2.4 и 2.5 отсутствуют) установлен металлокерамический мостовидный протез на родных зубах, который был подвижен и снимался вместе с вкладками.
- Зубы 1.2, 1.3 и 2.1 расколоты.
- Зуб 1.5 отсутствует.
- Кариозное поражение зуба 2.8
- Зубы 1.6 и 1.7 депульпированы.
- Катаральный гингивит на слизистой верхней челюсти (как следствие регулярного раздражения от подвижного металлокерамического протеза).
Врач предложил следующий план лечения:
- Удаление зубов 1.2, 1.3, 2.1 с одномоментной имплантацией в области зубов 1.1, 1.3, 2.1, 3.5, 3.7 и аугментацией костной ткани.
- До завершения процесса интеграции зубных имплантов установить временный мостовидный протез на Multi-unit.
- Провести вторичное эндодонтическое лечение зубов 1.6, 1.7, 2.2, 2.3, 2.6, 2.7, 3.3, 3.4, 4.4 и 4.6
- Лечение кариеса в зубе 2.8 и сохранение этого зуба.
- Ортопедическим методом выполнить поднятие прикуса зубов на 2-3 мм.
- Протезирование выполнить одиночными коронками и мостовидными конструкциями из диоксида циркония.
1 ЭТАП
Осмотр
Врач выслушал жалобы пациентки, сделал КТ-снимок и изучил полученные данные на снимке, провел осмотр полости рта и составил план лечения.
2 ЭТАП
Профессиональная гигиена полости рта
Гигиенист провел комплексную профессиональную гигиену полости рта с целью снятия воспалительных процессов мягких тканей (гингивита).
3 ЭТАП
Удаление и имплантация зубов
Операция по имплантации пяти зубов проходила с применением местного обезболивания, одномоментно с удалением зубов 1.2, 1.3, 2.1.
4 ЭТАП
Временное протезирование мостовидным протезом из PMMA
На импланты верхней челюсти врач установил Multi-unit, выполнил цифровое сканирование челюстей, смоделировал, изготовил и зафиксировал временный мостовидный протез из PMMA. Немедленная нагрузка была применена только для верхней челюсти, поскольку отсутствовали зубы в эстетической зоне и качество жизни пациентки могло существенно снизиться. На имплантах нижней челюсти врач установил формирователи десен и отпустил пациентку на реабилитацию.
5 ЭТАП
Эндодонтическое лечение
Чтобы не тратить попусту время, пока длился процесс интеграции имплантата, пациентка посетила стоматолога-эндодонтиста для вторичного лечения восьми зубов, которые наши врачи приняли решение сохранить, а не удалять. Параллельно врач выполнил лечение кариеса в зубе 2.8.
6 ЭТАП
Сканирование и моделирование mock-up модели
После эндолечения врач выполнил повторное сканирование челюстей для изготовления модели будущих зубов. Модель напечатали на 3D-принтере, перенесли ее в ротовую полость, тем самым подняли прикус, после чего врач провели препарирование зубов, которые в этом нуждались.
7 ЭТАП
Повторное сканирование и временное протезирование
Подготовленные к протезированию зубы врач отсканировал интраоральным сканером для последующего изготовления постоянных ортопедических конструкций. Сразу после сканирования врач зафиксировал временные зубные протезы, в том числе, для окончательного согласования формы и размера зубов.
8 ЭТАП
Постоянное протезирование конструкциями из диоксида циркония
Несколько дней спустя пациентке сняли временные конструкции и зафиксировали постоянные из диоксида циркония (цвет Bleach 2). Мостовидные протезы в области зубов 14-16, 11-13, 23-27, 35-37, 44-46 и одиночные коронки на зубах 2.1, 2.2, 4.3, 4.2, 4.1, 3.1, 3.2, 3.3, 3.4. Где были старые импланты, зубы 1.4 и 1.6 на них зубной мост закреплен винтовой фиксацией, все остальные конструкции — цементной.
Итог
Наша команда выполнила эту работу за 5 визитов пациентки в клинику в течение 1,5 месяцев. Пациентка счастлива не только благодаря обновленной улыбке, но и благодаря тому, что мы сохранили максимально возможное количество родных зубов.
