Ни одна пломба не является «вечной». Даже самые современные материалы со временем изнашиваются: адгезия ослабевает, по краям могут появляться микротрещины, а сама поверхность — стираться. Через такие «щели» в микропространство между зубом и пломбой легко проникают кариесогенные бактерии — прежде всего Streptococcus mutans и Lactobacillus, которые запускают процесс вторичного кариеса.
По данным клинических исследований, средний срок службы современной композитной пломбы составляет 5–7 лет, хотя многое зависит от гигиены, прикуса и качества выполнения работы. Амальгамные пломбы могут служить дольше — в среднем 10–15 лет, однако у них есть другие эстетические и функциональные ограничения.
Когда пломба теряет герметичность и начинает пропускать слюну и бактерии, под ней может формироваться скрытый очаг кариеса. Человек может долго не ощущать проблему, но процесс уже идет — и со временем это приводит к более серьезным осложнениям: разрушению стенок зуба, боли или даже необходимости лечения корневого канала.
Поэтому важно научиться замечать первые признаки неисправности пломбы и обращаться к врачу сразу, не дожидаясь сильной боли. Регулярные профилактические осмотры — лучший способ «поймать» проблему на раннем этапе.
Боль или резкая чувствительность при накусывании
Если во время жевания или при накусывании вы чувствуете резкую боль в запломбированном зубе, это всегда серьезный сигнал. Такие ощущения могут иметь несколько причин:
- Микротрещина в пломбе. Со временем композит может дать трещину под действием жевательной нагрузки или перепадов температуры. Через микротрещины проникают слюна и бактерии, что вызывает раздражение дентина.
- Отслоение пломбы от стенки зуба. Если адгезия нарушена, под пломбой образуется микропространство, куда под давлением пищи или напитков проталкивается жидкость. Это и провоцирует кратковременную, но резкую боль.
- Трещина самого зуба. Иногда проблема не в пломбе, а в тканях зуба под ней.
Игнорировать такие симптомы опасно. Если не вмешаться, трещина или разгерметизация пломбы может привести к вторичному кариесу или воспалению пульпы — состоянию, которое уже требует эндодонтического лечения (чистки и пломбирования каналов).
Важно: обратитесь к стоматологу как можно скорее. На раннем этапе проблему можно решить заменой пломбы. Если откладывать, риск пульпита или потери зуба возрастает в несколько раз.
Чувствительность зуба к температуре или сладкому
Когда пломба цела и плотно прилегает к зубу, она надежно изолирует внутренние ткани от любых раздражителей. Но стоит появиться даже микрощели, как защита исчезает. Тогда обычный глоток холодной воды или горячего чая откликается острым дискомфортом, а кусочек карамели или ложка меда вызывают резкую боль.
Причина проста: жидкость или сахарный раствор проходит через щель и попадает в дентинные канальцы. Там меняется давление, и нервные окончания мгновенно реагируют болью. Такой механизм — хорошо описан в научной литературе и известен как «гидродинамическая теория чувствительности». Если неприятные ощущения длятся дольше, чем несколько секунд после контакта с холодным или сладким, это указывает не только на нарушенную герметичность, но и на возможное развитие вторичного кариеса под пломбой.
Длительная чувствительность — это красный флаг. Она указывает, что процесс может продвигаться глубже, к пульпе. И тогда вместо простой замены пломбы может понадобиться уже эндодонтическое лечение каналов. Откладывать визит не стоит: даже если боль вроде бы «незначительная», на самом деле это сигнал SOS от зуба.
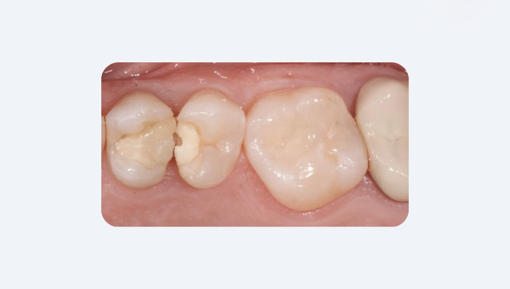
Видимые трещины, сколы или темная полоска вокруг пломбы
Часто первые проблемы с пломбой можно заметить собственными глазами. Достаточно внимательно присмотреться в зеркало при хорошем освещении. Если поверхность выглядит треснувшей или отколотой — это уже признак того, что пломба потеряла целостность. В таких микроповреждениях легко накапливаются остатки пищи и бактерии, а со временем они превращаются во входные ворота для вторичного кариеса.
Еще один тревожный сигнал — темная полоска по краю пломбы. Легкое общее потемнение светлых композитов со временем возможно, но четкая темная каемка означает, что под материал начали проникать пигменты и микроорганизмы. Это так называемая краевая микропроницаемость, и она всегда требует проверки у врача.
Амальгамные (серебряные) пломбы имеют свою особенность: они более стойки к стиранию, однако под действием жевательных нагрузок со временем тоже могут давать трещины. Иногда такая пломба даже начинает слегка «ходить» при нажатии — это явный признак того, что она потеряла контакт со стенками зуба.
Даже если боль еще не появилась, любые видимые изменения — трещина, скол или темная каемка — означают, что пломба уже не герметична. В такой ситуации лучше не ждать симптомов, а сразу записаться к стоматологу: профилактическая замена реставрации значительно безопаснее, чем лечение запущенного кариеса или пульпита.
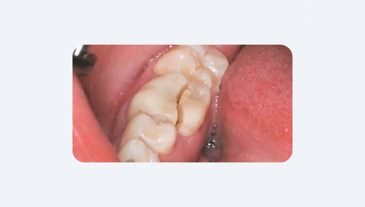
Застревание пищи между зубами, где раньше не застревала
Один из самых заметных сигналов, что с пломбой что-то не так, — это внезапное застревание пищи между зубами. Если раньше контакт был плотным и нить скользила легко, а теперь кусочки мяса или волокна овощей постоянно «застревают» в одном и том же месте, это означает, что форма пломбы изменилась. Причины могут быть разные:
- пломба потеряла анатомический контакт и «отодвинулась» от соседнего зуба;
- материал слегка стерся или откололся;
- образовалась микрощель, в которую попадают остатки пищи.
Последствия такого дефекта — не только дискомфорт во время еды. Постоянное застревание создает идеальные условия для развития кариеса сразу на двух фронтах: на краю соседнего зуба и под самой пломбой. Дополнительный маркер проблемы — если зубная нить в этом месте начинает рваться или застревать. Это происходит из-за острых краев пломбы или из-за шероховатой поверхности, которая уже неплотно прилегает к зубу.
Клинические исследования подтверждают: дефекты контактного пункта и краевой адаптации — одна из главных причин вторичного кариеса и преждевременной замены реставраций.
Если вы регулярно чувствуете, что пища застревает в одном и том же месте, не откладывайте визит к стоматологу. Это признак того, что пломба перестала выполнять свою защитную функцию, и чем раньше ее заменят, тем ниже риск потерять контакт между зубами и повредить соседний зуб.
Неприятный запах или привкус у одного зуба
Иногда человек соблюдает все правила гигиены: чистит зубы дважды в день, пользуется нитью, даже ополаскивателем, но неприятный запах всё равно появляется. Если при этом кажется, что он исходит из конкретного участка полости рта, стоит заподозрить проблему с пломбой.
Когда реставрация теряет герметичность, в микропространстве под ней накапливаются остатки пищи и бактерии. Там образуется своеобразный «микробный инкубатор»: бактерии расщепляют белки, выделяя сероводород и другие летучие соединения серы, которые и создают характерный запах гнили. Исследования показывают, что летучие серосодержащие соединения являются основной причиной локального галитоза (неприятного запаха изо рта).
Иногда люди ощущают не только запах, но и привкус — гнилостный или даже металлический. Это тоже следствие активности бактерий, которые разрушают ткани под пломбой. В случае амальгамовых пломб металлический привкус может быть связан с коррозией материала.
Если вы заметили, что запах или странный привкус «привязан» к одному зубу, не стоит игнорировать этот сигнал. Это не косметическая проблема, а признак того, что пломба больше не выполняет защитную функцию. Обратившись к стоматологу на этом этапе, можно избежать более серьезных осложнений — от вторичного кариеса до воспаления десен вокруг пораженного зуба.
| Симптом | Что вы ощущаете / видите | Возможная причина | Последствия при промедлении |
|---|---|---|---|
| Боль при накусывании | «Прострел» или резкая боль во время жевания | Трещина в пломбе или зубе, отслоение материала | Пульпит, необходимость лечения каналов или коронки |
| Чувствительность к холодному / сладкому | Боль от мороженого, чая, карамели | Микрощель, вторичный кариес | Поражение пульпы, необходимость эндодонтического лечения |
| Темная полоска по краю пломбы | Четкая темная каемка в зеркале | Краевая микропроницаемость, проникновение пигментов | Скрытый кариес, разрушение стенки зуба |
| Застревание пищи | Пища или нить постоянно «цепляются» | Потеря контакта, скол или стертость пломбы | Кариес на соседнем зубе, воспаление десен |
| Неприятный запах или привкус | Запах гнили или металла от конкретного зуба | Бактерии под пломбой, коррозия амальгамы | Воспаление десен, прогрессирование кариеса |
📌 Эта таблица помогает быстро сориентироваться, но точный диагноз поставит только стоматолог после осмотра и рентгена.
Профилактика кариеса и уход за пломбами
Чтобы пломбы служили дольше и под ними не возник кариес, нужно соблюдать не только качественную гигиену, но и здоровый образ жизни. Вот главные шаги:
🪥 Чистка зубов. Чистите зубы два раза в день фторсодержащей пастой (утром и перед сном). Это базовый стандарт, подтвержденный ADA и ВОЗ. Используйте мягкую щетку (жесткие щетинки изнашивают эмаль и могут повредить край пломбы). Держите щетку под углом 45° к деснам и выполняйте маленькие круговые движения. Такая техника эффективно снимает налет у линии десен, где часто начинается новый кариес.
Уделяйте внимание всем поверхностям: внешним, внутренним, жевательным. Не забывайте задние зубы и участки за последними молярами. Пациентам с большим количеством пломб или ортопедических конструкций (мосты, накладки) рекомендуются электрические или звуковые щетки — они лучше очищают труднодоступные места.
🧵 Зубная нить (флосс). Используйте ежедневно, желательно вечером после чистки. Нить удаляет налет и остатки пищи между зубами и у краев пломб — там, куда щетка не достает. Намотайте нить на средние пальцы, аккуратно введите ее между зубами и двигайте в форме «С» вдоль каждого зуба. Особенно важно пользоваться флоссом в местах, где пломба прилегает к соседнему зубу — именно там чаще всего развивается вторичный кариес.
Если нитью пользоваться неудобно, можно выбрать флосс-палочки или ирригатор (струя воды, вымывающая остатки из межзубных промежутков).
💧 Ополаскиватели. Используйте один раз в день безалкогольный ополаскиватель с фтором или антисептиком. Он снижает количество бактерий и препятствует образованию налета. После ополаскивания не ешьте и не пейте 30 минут — так фтор успевает «встроиться» в эмаль.
При воспалении десен стоматолог может рекомендовать ополаскиватель с хлоргексидином (только короткими курсами, так как он может вызывать потемнение эмали).
🥗 Сбалансированное питание. Ограничивайте сахар и частые перекусы — именно они запускают «кислотные атаки», разрушающие эмаль и границу пломбы. Самые вредные — липкие конфеты, газированные напитки, энергетические напитки. Они задерживаются на зубах и быстро снижают pH в полости рта.
Ешьте больше овощей, фруктов, орехов, молочных продуктов и рыбы — они обеспечивают кальций, фосфор и витамины для реминерализации. Избегайте слишком твердых продуктов (льда, сахарного песка, орехов в скорлупе). Они могут сколоть край пломбы или вызвать микротрещину. Если тянет на сладкое или газировку — лучше употреблять их вместе с пищей, а не между приемами. Так слюна быстрее «нейтрализует» кислоту.
👨⚕️ Регулярные осмотры. Посещайте стоматолога не реже двух раз в год для профилактической чистки и проверки. • Врач оценивает герметичность пломбы, проверяет ее края специальным зондом, делает прицельный рентгеновский снимок при подозрении на скрытый кариес.
Во время профессиональной гигиены снимают зубной камень и пигментированный налет — это снижает риск воспаления десен и вторичного кариеса вокруг пломб. Пациентам с большим количеством реставраций или имплантов иногда советуют осматривать зубы каждые 3–4 месяца.
Правильная гигиена, продуманное питание и регулярный контроль — ключ к тому, чтобы пломбы служили максимально долго. Благодаря таким простым действиям можно избежать «скрытого» кариеса у краев реставраций и отложить их замену на годы.
Почему старые пломбы нужно менять
Пломба — это не раз и навсегда. Даже лучший материал имеет свой срок службы. Металлические амальгамы, которые ставили 20–30 лет назад, и композиты старого поколения постепенно теряют плотность прилегания. По краям образуются микротрещины, которые становятся входом для бактерий. Кариес под пломбой развивается скрытно, и человек может не подозревать о нём годами. Именно поэтому у пациентов «со стажем» — тех, кому пломбы установили десятилетия назад — мы чаще всего видим скрытые поражения.
Конечно, регулярные профилактические осмотры помогают вовремя обнаружить проблему, но есть несколько моментов, которые пациенты часто недооценивают.
Изменение прикуса. Старая пломба может влиять на то, как вы смыкаете зубы. Со временем материал стирается неравномерно, и даже небольшая разница по высоте приводит к микротравмам десны или перегрузке височно-нижнечелюстного сустава. Хруст в суставе или ощущение, что «жевать стало иначе», не всегда означает проблему с самим суставом — часто виновата пломба, которая уже неправильно восстанавливает зуб.
Эстетические изменения. Амальгама имеет ещё один недостаток: она может окрашивать окружающие ткани. Серый оттенок на десне («амальгамная татуировка») — явление известное и описанное в стоматологической литературе. Обычно это не опасно, но выглядит неэстетично. Современные композиты и керамика лишены этого эффекта.
Влияние возраста и слюны. С возрастом у многих меняются состав и количество слюны. Часто возникает ксеростомия (сухость во рту) из-за приёма лекарств или гормональных изменений. Слюна хуже нейтрализует кислоту, и риск кариеса под старыми пломбами резко возрастает. В таких случаях особенно полезны ополаскиватели с фтором, стимуляторы слюноотделения или даже специальные увлажняющие средства.
Пищевые привычки. Не стоит забывать и о механических факторах. Если у пациента есть привычка грызть семечки, лёд или орехи, старая пломба часто становится «слабым звеном» и ломается первой. Поэтому изменение пищевых привычек продлевает жизнь не только пломбам, но и самим зубам.
Современные решения. Замена старой пломбы — это не только «залатать дырку». Современные материалы, например керамические накладки (онлеи), позволяют не просто восстановить зуб, но и правильно распределить жевательную нагрузку. Такая реставрация может продлить срок службы зуба на 15–20 лет, сохраняя и функцию, и эстетику.
Итак, наличие старых пломб — это не только вопрос герметичности. Они влияют на прикус, состояние дёсен, баланс слюны и даже на пищевые привычки. Именно комплексный подход — регулярный контроль, замена по показаниям и использование современных материалов — помогает избежать скрытого кариеса и надолго сохранить зубы.
Вывод
Пломба — не раз и навсегда решённая проблема, а лишь один из этапов поддержания здоровья зубов. Она может служить годами, но износ неизбежен. Главное — вовремя заметить сигналы тревоги: боль при жевании, чувствительность к холодному или сладкому, трещины, застревание пищи или неприятный запах. Игнорировать их опасно: маленькая щель сегодня — завтра может означать лечение каналов или даже потерю зуба.
Регулярные профилактические осмотры, правильная гигиена и внимательное отношение к своим ощущениям — лучший способ сохранить не только пломбу, но и сам зуб. Современные материалы и технологии позволяют сделать реставрацию надёжной и незаметной, поэтому бояться замены не стоит.
Если вы подозреваете, что с пломбой что-то не так, обращайтесь в наши клиники «Стоматология Максима Макаренко» в Киеве. Мы ежедневно выполняем замены пломб и делаем это максимально аккуратно: работаем под микроскопом и цифровым контролем, используем современные композиты и керамику, придерживаемся принципов доказательной стоматологии. Для пациента это означает не просто «новую пломбу», а восстановленный герметичный зуб, который выглядит естественно и служит долго.
Мы работаем ежедневно с 9:00 до 21:00 по адресам:
- ул. Елочная, 60/1 (Харьковский массив)
- ул. Профессора Подвысоцкого, 20 (Печерск)
- ул. Новомостицкая, 25-б (Виноградарь)
