Большинство пациентов, услышав от стоматолога «нужно сделать КТ», сразу настораживаются. «У меня же уже есть панорамный снимок. Зачем ещё?» Этот вопрос звучит в клиниках настолько часто, что стал почти классикой. И он вполне логичен — ведь рентген, кажется, даёт всю нужную информацию. Но на самом деле — только поверхность.
Обычный рентген — это двумерное изображение сложной трёхмерной структуры. Если попытаться представить — это как будто вы смотрите на лес, но видите только первый ряд деревьев. Рентген никуда не делся — он остаётся первым, базовым этапом. Его достаточно, чтобы увидеть кариес или проверить пломбу. Но когда речь идёт об анатомических особенностях, воспалении, имплантации, ортодонтическом планировании — без КТ врач фактически «играет в шахматы с завязанными глазами».
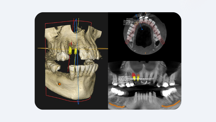
Компьютерная томография (CBCT — Cone Beam Computed Tomography) работает по совершенно иному принципу. Аппарат делает сотни узких срезов, вращаясь вокруг головы пациента, а компьютер объединяет их в полную 3D-модель челюсти. Врач может «прокрутить» её, разрезать в любом направлении, изменить масштаб и увидеть даже мельчайшие детали — корневые каналы, нервы, микротрещины, плотность кости. КТ рекомендована во всех случаях, когда 2D-снимок не даёт достаточной информации для клинического решения. И именно поэтому, когда врач говорит: «Нужно сделать КТ», — он не перестраховывается. Он просто хочет работать не наугад, а точно.
Что такое КТ в стоматологии и как оно работает
Когда пациент впервые слышит «сделайте КТ», он представляет большой больничный аппарат, в который нужно лечь с головой и который излучает «мощную дозу рентгена». Это представление осталось из 90-х, когда компьютерная томография только появилась в медицине. Но в стоматологии всё иначе. Здесь используется конусно-лучевая компьютерная томография — или CBCT. Она специально разработана для обследования небольших областей — челюстей, зубов, гайморовых пазух — с минимальной дозой облучения и микронной точностью.
Технология CBCT основана на простом, но гениальном принципе. Аппарат имеет источник рентгеновского излучения, который вращается по кругу вокруг головы пациента, испуская узкий конусообразный луч. Детекторы фиксируют тысячи изображений под разными углами, а специальное программное обеспечение объединяет их в трёхмерную цифровую модель.
В результате врач получает полноценное 3D-изображение, которое можно рассматривать слой за слоем — в любой плоскости, в любом масштабе. Он может вращать модель, делать срезы по оси, изменять прозрачность, измерять расстояния с точностью до десятых миллиметра. Это не просто «снимок» — это цифровая копия челюсти пациента с анатомической точностью.
CBCT не просто «показывает больше». Она устраняет искажения, характерные для панорамных снимков: на 2D-изображении зубы на периферии часто кажутся длиннее или короче из-за геометрических искажений. У CBCT этого недостатка нет — измерения реальны.
Толщина одного вокселя (пикселя в 3D-пространстве) на современном аппарате Sirona AXEOS, который используется в MM Dental, составляет 80 микрон (0,08 мм) — это уровень, позволяющий увидеть даже самые тонкие костные пластинки, микротрещины или узкие каналы корней. Для сравнения: толщина человеческого волоса — около 70–100 микрон, так что детализация снимка почти на грани анатомической точности.
В клинической практике это критично:
- перед имплантацией — чтобы подобрать точную длину и диаметр имплантата
- во время эндодонтического лечения — чтобы найти скрытый канал или увидеть перфорацию
- при диагностике кисты — чтобы измерить её объём и границы
- в гнатологии — чтобы оценить положение суставных головок при прикусе.
Врач получает не просто «картинку», а информацию, которую можно измерить и пересчитать. Именно поэтому CBCT стала основой цифровой стоматологии — когда планирование, хирургия и протезирование объединены в единую систему.
Когда снимок КТ обязателен и почему без него нельзя
Рентген показывает лишь направление. Но когда стоматолог принимает решение, от которого зависит нерв, пазуха или целая челюсть, — «ориентира» уже недостаточно. В таких случаях КТ — не дополнительное исследование, а инструмент безопасности.
Имплантация
Планирование имплантации — это не только «выбор системы». Это анатомическая геометрия, где важна каждая десятая доля миллиметра. На панорамном снимке невозможно увидеть истинную толщину кости, её плотность или угол наклона гребня. А имплантат должен стоять в центре костной пластинки, не касаясь нерва и не перфорируя пазуху. КТ позволяет измерить высоту, ширину и плотность кости в вокселях (единицах объёма). Врач видит, где заканчивается компактная кость и начинается губчатая, а также расстояние до нижнечелюстного нерва — часто это 1–2 мм, которых на рентгене просто не существует.
Удаление зубов мудрости
Зубы мудрости часто имеют сложное расположение: корни могут огибать нерв, упираться в соседний зуб или расти в пазуху. На панорамном снимке это выглядит как размытая тень — невозможно сказать, касается ли корень нерва или нет. КТ точно показывает пространственные взаимосвязи: в трёх плоскостях — горизонтальной, фронтальной и сагиттальной.
Если корень действительно прилегает к нерву, врач может выбрать иную тактику удаления. Это позволяет избежать потери чувствительности нижней губы или подбородка.
Лечение каналов
У многих зубов есть варианты анатомии: два канала в одном корне, слияния или изгибы, которые просто не видны в 2D. CBCT показывает реальную трёхмерную структуру. Именно благодаря этому современная эндодонтия стала точнее и менее травматичной. А ещё CBCT позволяет выявить скрытые перфорации или остаточные очаги поражения, которые не видны на рентгене. Это означает: если болит зуб, который «лечили полгода назад», именно КТ покажет причину, а не догадку.
Кисты, гранулёмы, резорбции
На 2D-снимке воспаление выглядит как пятно или «тень». Но врач не может оценить его объём — находится ли оно в пределах кости, прорывается ли в гайморову пазуху, касается ли соседних корней. CBCT даёт точную геометрию поражения: можно измерить диаметр, глубину, контуры, плотность ткани.
Это критически важно, потому что от этого зависит выбор метода:
- лечить канал,
- удалять кисту хирургически,
- или проводить резекцию верхушки корня.
Ортодонтия и гнатология
Когда планируется перемещение зубов, важно знать, насколько толстая кость вокруг корней. Если она слишком тонкая — зуб может «выйти» за её пределы, вызвав резорбцию. КТ даёт врачу возможность видеть не только расположение корней, но и структуру альвеолярного отростка. Именно поэтому большинство ортодонтов в Европе и США переходят на 3D-планирование с использованием CBCT.
То же и в гнатологии: для оценки височно-нижнечелюстного сустава (ВНЧС) КТ показывает форму и положение суставных головок, наличие остеоартрита или асимметрии. Этого невозможно увидеть на каком-либо обычном рентгене.
Травмы, переломы, воспаление
После удара или неудачного удаления обычный снимок может не показать мелких трещин или фрагментов. КТ даёт трёхмерную реконструкцию и позволяет оценить даже микропереломы. Именно поэтому в травматологических центрах CBCT давно заменило традиционный рентген для челюстно-лицевой диагностики.
Насколько безопасна КТ: доза облучения, риски
Страх перед словом «рентген» глубоко укоренился в нашем подсознании. Пациенты часто спрашивают: «А это не вредно? У меня же уже был снимок!» И это естественно — мы привыкли думать, что каждое рентгеновское исследование несёт угрозу. Часто пациенты путают медицинскую КТ со стоматологической.
Медицинская КТ (которую делают в больницах для диагностики внутренних органов) использует веерообразный луч, сканирующий большие участки тела. Такая технология даёт очень высокую дозу облучения — от 1000 до 10 000 микрозивертов (µSv) в зависимости от области исследования, длины зоны сканирования и параметров аппарата. Для стоматологии это недопустимо и просто не требуется.
Конусно-лучевая КТ сканирует только лицевую область, поэтому доза в 50–100 раз ниже — всего 20–60 µSv в режиме Low Dose. При этом она даёт более высокую детализацию именно для мелких структур: корней зубов, костных перегородок, нервных каналов. Это то, что в медицине называют “optimized for task” — то есть система создана не для всего тела, а для одной задачи — максимально точно визуализировать челюстно-лицевую область.
Стоматологическая томография нового поколения — одна из самых безопасных медицинских процедур, если оценивать её по уровню облучения. И давайте разберёмся — не эмоционально, а на фактах. Чтобы лучше представить масштабы, сравним стоматологические исследования с повседневными источниками облучения.
| Ситуация / источник облучения | Средняя доза (µSv) |
|---|---|
| Естественное фоновое облучение (1 день) | 8–10 |
| Авиаперелёт Киев–Барселона | 40–50 |
| Панорамный снимок (ОПТГ) | 10–40 |
| CBCT, режим Low Dose | 20–60 |
| Медицинская КТ головы | 2 000 |
| Медицинская КТ живота | 10 000 |
📌 Приведены ориентировочные диапазоны значений; фактическая доза зависит от аппарата, поля сканирования (FOV) и настроек.
Принцип ALARA — “As Low As Reasonably Achievable”
Ещё в 1977 году Международная комиссия по радиологической защите (ICRP) ввела принцип ALARA, который обязывает медицинские учреждения сводить дозу облучения к минимуму, необходимому для диагностики. В стоматологии этот принцип означает, что исследование проводится только при необходимости, выбирается минимальная зона сканирования и настраивается режим наименьшей дозы, при которой качество изображения всё ещё достаточно для постановки диагноза.
С развитием технологий появилась ещё более точная концепция — ALADA (As Low As Diagnostically Acceptable) — «настолько мало, насколько это приемлемо для диагностики». Её суть в том, что цель не просто минимизировать дозу, а найти баланс между минимальным облучением и достаточной диагностической информацией. То есть если обычного рентгена достаточно — КТ не назначают. Но если нужна 3D-картина, выполняют КТ в наименьшем поле.
В современных аппаратах, таких как Sirona AXEOS (установлен в MM Dental), реализованы несколько систем дозовой защиты:
- Low Dose Mode — сканирование с минимальной интенсивностью излучения без потери детализации.
- Collimation system — ограничение поля съёмки (например, только один сегмент или зуб вместо всей челюсти).
- Автоматическая регулировка экспозиции в зависимости от плотности тканей пациента.
- Фильтры рассеяния — уменьшают вторичное излучение.
Результат — доза ниже, чем от панорамного снимка, а точность — в десятки раз выше.
Большинство людей боятся, что «частые снимки накапливаются». Это миф. Радиация от КТ не остаётся в теле — она действует только во время прохождения луча и не имеет «памяти». Поэтому повторное обследование через несколько дней или недель не создаёт ощутимого (клинически значимого) риска, если оно обосновано. Единственное ограничение — беременность (особенно первый триместр). В таких случаях исследование откладывают или используют самое узкое поле с полным защитным экранированием.
Ирония в том, что риски без КТ часто больше, чем с ним. Когда врач не видит реальную анатомию, повышается вероятность повредить нерв или пазуху при имплантации, не заметить кисту или трещину, недолечить канал, удалить зуб, который можно было сохранить.
Иными словами, попытка избежать минимального облучения может привести к более сложным и дорогим вмешательствам. Стоматология — это не только про руки, но прежде всего про видение. Даже самый точный микроскоп не поможет, если врач не знает, где именно искать проблему. КТ — это инструмент, который превращает неизвестное в прогнозируемое. Каждый случай, когда выполняется КТ, — это не «дополнительное исследование», а предотвращение будущей ошибки.
Томографы, которые используются в MM Dental
Когда речь идёт о точной диагностике, разница между «хорошо» и «идеально» измеряется не в процентах, а в микронах. Именно поэтому в MM Dental установлены два томографа Dentsply Sirona — AXEOS и Orthophos, которые дополняют друг друга и позволяют охватывать весь спектр клинических задач — от ежедневных панорамных снимков до высокоточных 3D-сканов для сложной хирургии.
Sirona AXEOS — абсолютная точность
AXEOS — это топовый компьютерный томограф, который видит даже то, чего не замечает человеческий глаз. Он создан для сложных случаев: имплантации, лечения под микроскопом, эстетической реконструкции улыбки.
Ключевые возможности:
- 3D HD-изображение — позволяет рассмотреть микроструктуру кости и корни зубов с точностью до десятых долей миллиметра.
- Low Dose Mode — снижает облучение до уровня обычного панорамного снимка.
- FaceScan и QuickScan+ — за несколько секунд формируют 3D-модель лица, чтобы врач мог точно спланировать форму и симметрию будущих зубов.
- Пять вариантов поля обзора (FOV) — от одного зуба до всей челюсти; никакого «лишнего» облучения.
- Автоматическое центрирование пациента — компьютер сам подстраивает положение головы, чтобы получить чёткий снимок с первого раза.
Этот аппарат установлен в ведущих университетских клиниках Европы — UCL Eastman Dental Institute и Charité.
Sirona Orthophos SL — стандарт диагностики
Orthophos SL — это универсальный томограф для ежедневной работы: сочетает высокое качество снимков с минимальной дозовой нагрузкой и высокой скоростью.
Особенности Orthophos SL:
- Direct Conversion Sensor (DCS) — датчик, который преобразует рентгеновское излучение непосредственно в цифровой сигнал. Это обеспечивает исключительную чёткость без потерь при конверсии.
- Технология Sharp Layer — аппарат «подтягивает» фокус в нужную плоскость, даже если пациент немного сместился.
- Автоматическое дозирование — система сама определяет оптимальный уровень облучения в зависимости от анатомии пациента.
- Интеллектуальная компенсация движений — даже лёгкое движение головы не испортит снимок.
- Полная интеграция с CEREC и Galileos Implant — врач сразу видит трёхмерную модель челюсти и может спланировать имплантацию до миллиметра.
Orthophos SL — это настоящий «рабочий конь» цифровой стоматологии.
📍 Разница, которую видно в объёме сканирования
Главное отличие между моделями — в том, какую часть лица и челюстей аппарат видит за одно сканирование. Это называется FoV (Field of View) — поле обзора, то есть трёхмерный объём, который система формирует за один цикл.
Sirona AXEOS: FoV от Ø 5 × 5,5 см до Ø 17 × 13 см.
Этот аппарат может получить как изображение одного зуба, так и полный 3D-снимок обеих челюстей вместе с суставами, гайморовыми пазухами и носовыми структурами. Это идеальное решение для комплексной диагностики, ортогнатической хирургии, имплантации “full arch” и планирования цифровой эстетики.
Sirona Orthophos SL: FoV от Ø 5 × 5,5 см до Ø 11 × 10 см.
Этого объёма достаточно для подавляющего большинства клинических ситуаций — имплантации одного или нескольких зубов, диагностики гайморовых пазух, эндодонтического лечения или ортодонтического планирования.
Чтобы представить масштабы:
- 5 × 5,5 см — один зуб или сегмент из нескольких зубов.
- 8 × 8 см — одна челюсть.
- 11 × 10 см — обе челюсти с гайморовыми пазухами.
- 17 × 13 см — вся челюстно-лицевая зона: челюсти, суставы, синусы, носовая полость — всё за один проход.
☢️ Доза и качество изображения
Оба томографа работают в режиме Low Dose — уровень облучения в 3D-режиме сопоставим с обычным панорамным 2D-снимком. При этом доступен HD-режим с разрешением до 80 мкм, который позволяет различить даже мельчайшие анатомические детали: микротрещины корня, перфорации каналов, структуру костной ткани. То есть пациент получает точность медицинской КТ при минимальной нагрузке на организм.
⚙️ Интеллектуальные системы и комфорт
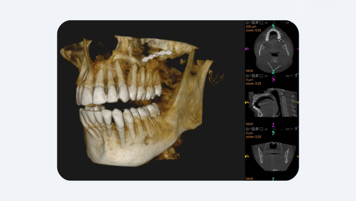
MARS (Metal Artifact Reduction) — программное снижение артефактов от металлических коронок, пломб и имплантов.
Smart Positioning System — автоматическое центрирование пациента для стабильного кадра с первого раза.
Ambient Light — подсветка с 30+ оттенками, снижает напряжение и создаёт спокойную атмосферу во время сканирования.
Цефалометрический модуль (опция) — для ортодонтических снимков, может устанавливаться с правой или левой стороны.
Сенсорное управление и интеграция с цифровыми системами (CEREC, Sidexis, Galileos Implant, CAD/CAM) обеспечивают бесшовный цифровой рабочий процесс — от диагностики до моделирования и протезирования.
| Параметр | Sirona AXEOS | Sirona Orthophos SL |
|---|---|---|
| Тип системы | Премиальная CBCT нового поколения (обновлённая оптика и датчики высокого разрешения) | CBCT среднего класса с DCS-сенсором и функцией Sharp Layer |
| Разрешение | До 0,04 мм (режим 3D HD) | 0,08–0,1 мм |
| Доза облучения | Intelligent Low Dose — 3D-снимок с дозой, сопоставимой с панорамным 2D | Также Low Dose, но без HD-детализации |
| Поле обзора (FOV) | 5 вариантов — от одного зуба до всей челюстно-лицевой области (Ø 5×5,5 до 17×13 см) | До 4 вариантов — от локальной зоны до Ø 11×10 см |
| Сканирование лица (FaceScan) | Есть — создаёт 3D-модель для цифровой эстетики и Smile Design | Нет |
| Автоматическое центрирование пациента | Smart Positioning System — система сама выравнивает положение головы | Требует ручной корректировки, но с лазерными метками. |
| Скорость сканирования | ≈ 15 секунд | ≈ 10 секунд |
| Интеграция с цифровыми системами | Galileos Implant, CEREC, Sidexis, CAD/CAM, модуль AI-анализа | CEREC, Sidexis 4, Galileos Implant |
| Основное применение | Имплантация, сложные операции, диагностика патологий ВНЧС, цифровая эстетика | Ежедневная диагностика, панорамные снимки, планирование лечения |
| Ключевое преимущество | Максимальная точность и многофункциональность | Надёжность, скорость и комфорт |
📌 Сравнение подготовлено на основе технических спецификаций Dentsply Sirona. Все параметры приведены для ознакомления.
Главное преимущество в том, что AXEOS и Orthophos — части единой экосистемы Dentsply Sirona. Они работают в связке с программами Sidexis 4, Galileos Implant, CEREC и inLab CAM, что позволяет создавать цифровые хирургические шаблоны для имплантации, планировать операцию в 3D с точностью до десятых долей миллиметра, совмещать КТ-снимок с интраоральным сканом для изготовления коронок и виниров без слепков, моделировать костные пластики и синус-лифтинг в виртуальном пространстве до операции.
Что это означает для пациента:
- снимок делается на месте, без направлений;
- результат — сразу на экране, можно увидеть всё вместе с врачом;
- никаких лишних снимков: подбирается нужное поле — только там, где нужно;
- наименьшая возможная доза облучения;
- и главное — точность, которую раньше можно было увидеть только в университетских лабораториях.
В MM Dental диагностика, хирургия и протезирование — единый бесшовный цифровой процесс, а не три отдельные этапа.
Как делается КТ-снимок: шаг за шагом
Когда врач говорит: «сделаем КТ», большинство пациентов представляют что-то серьёзное — большой аппарат, сильное излучение, длительную процедуру. А на деле всё гораздо проще, быстрее и спокойнее. В MM Dental компьютерная томография занимает меньше минуты и не вызывает никаких неприятных ощущений. Никаких уколов, шумов или замкнутых «труб».
Шаг 1. Подготовка — без специальных условий
Никаких диет или анализов не требуется. Перед съёмкой пациента просят снять металлические предметы: серьги, очки, шпильки, съёмные протезы, чтобы они не искажали изображение. Врач или ассистент объясняет, как встать или сесть в аппарат — всё занимает буквально 1–2 минуты. Если пациент волнуется, можно попросить сделать несколько пробных оборотов без излучения — просто чтобы почувствовать, что это безопасно и комфортно. В MM Dental мы часто так делаем, особенно с детьми или людьми, которые боятся медицинских процедур.
Шаг 2. Позиционирование
Пациент стоит или сидит в специальном кресле. Подбородок опирается на мягкую подставку, голову фиксируют лёгкие опоры — они не сжимают, а лишь удерживают в правильном положении. Во время сканирования важно не двигаться несколько секунд — как при обычном фото. Оператор выходит за дверь, нажимает кнопку — и аппарат начинает тихо вращаться вокруг головы. Вы слышите лишь лёгкое жужжание — никакого давления, никаких неприятных звуков.
Шаг 3. Сканирование — 10–20 секунд
Современные томографы Sirona AXEOS и Sirona Orthophos работают почти бесшумно. Сканирование длится от 10 до 20 секунд в зависимости от выбранного поля (вся челюсть или отдельный участок). Луч, который использует аппарат, имеет форму конуса и проходит вокруг головы один раз — он не «облучает» тело, а лишь регистрирует изображение тканей. После завершения сканирования аппарат останавливается автоматически, и сразу же на экране появляется 3D-модель. Врач проверяет качество, и пациент может сесть рядом, чтобы посмотреть вместе.
Шаг 4. Анализ и объяснение результатов
Результат не нужно ждать несколько дней — он готов мгновенно. Врач открывает изображение в программе Sidexis 4, вращает модель в трёх плоскостях, показывает, как проходит нерв, где есть воспаление или почему нужна пластика кости. Пациент видит всё своими глазами — и это момент, когда страх сменяется пониманием. Если снимок делается для хирургии или имплантации, сразу создаётся цифровой план — модель, на которой врач определяет положение будущих имплантатов или разметку для навигационного шаблона.
Ощущения во время процедуры
КТ абсолютно безболезненно. Нет ни уколов, ни неприятного привкуса, ни даже контакта с датчиками во рту. Люди, склонные к клаустрофобии, обычно удивляются: аппарат открыт, просторный, а вращение ощущается как медленное движение камеры вокруг головы.
Детям процедура даже нравится — мы часто называем её «делаем 3D-фото зубов». Это расслабляет, а результат они воспринимают с интересом, когда видят себя «внутри» на экране.
Что делать после? Ничего. Не нужно ждать или ограничивать себя в еде. Единственное — желательно сохранить копию результата (мы сразу отправляем её пациенту на электронную почту или на флешку в формате DICOM, который открывается в любой клинике мира).
Почему свинцовые фартуки уже не обязательны
Многие до сих пор уверены, что любой рентген или КТ нужно делать только в свинцовом фартуке. Это правило действовало десятилетиями, ещё со времён аналоговых плёночных аппаратов, когда пучок рентгеновского излучения был широким, рассеивался во все стороны и действительно облучал часть тела за пределами зоны исследования. Но современная диагностика работает по совершенно другим физическим принципам.
Стоматологическая КТ формирует узкий конус лучей — он направлен только на нужный участок лица. Благодаря цифровым детекторам и системе коллимации (ограничение поля) облучение тканей вне этой области минимально — в пределах нескольких микрозивертов, то есть меньше, чем естественный фон за день. Большую часть рассеянного излучения поглощает сам корпус аппарата, и оно даже не выходит за его пределы.
Именно на этом основано решение Американской стоматологической ассоциации, Национального совета по радиационной защите и Международной комиссии по радиологической защите, в котором сказано:
«Защитные воротники для щитовидной железы и свинцовые фартуки больше не рекомендуются для любых процедур стоматологической визуализации при условии использования современного оборудования и надлежащей коллимации.»
То есть ведущие организации исходят из принципа: защищать нужно не тело, а луч. Они апеллируют к трём основным техническим аргументам:
- Точная геометрия луча. Коллимация в CBCT и цифровых рентгенах сужает поле настолько, что щитовидная железа, грудная клетка и репродуктивные органы не попадают в зону воздействия.
- Современные фильтры и Low Dose-режимы. Алгоритмы автоматически подстраивают ток и напряжение под толщину тканей; доза уменьшается в 5–10 раз по сравнению со старыми системами.
- Риск артефактов. Свинцовые фартуки или воротники могут перекрывать часть детектора, вызывая тень или «просвечивание», из-за чего приходится делать повторное сканирование — и это уже действительно увеличивает суммарную дозу.
На аппаратах Sirona AXEOS и Orthophos, работающих в MM Dental, лучевой конус формируется так, чтобы охватывать только целевую область, а защитные фильтры и режим Low Dose снижают эффективную дозу до 20–60 µSv. Это в сотни раз меньше, чем при обычной медицинской КТ грудной клетки.
Так что современная политика выглядит иначе: не «больше свинца», а разумное снижение дозы от самого источника. Мы защищаем пациента не фартуком, а технологией. И именно в этом заключается новая этика доказательной медицины — не поддерживать старые страхи, а опираться на точные физические расчёты.
Почему цена КТ в разных клиниках отличается
В Киеве стоимость КТ может колебаться от 500 до 1500 грн — и это не всегда «переплата за бренд». Разница часто объясняется тремя факторами:
- Класс оборудования. На старых аппаратах с большим полем съёмки доза может быть в 5–10 раз выше, а чёткость — ниже. На Sirona AXEOS и Orthophos — наоборот: минимальная доза, максимальная детализация.
- Размер зоны (FOV). КТ одной области (например, одного зуба) стоит меньше, чем всей челюсти или обеих челюстей одновременно. В MM Dental всегда подбирается только необходимое поле, без лишнего сканирования.
- Наличие интерпретации врача. Некоторые клиники выдают лишь «снимок на диске». В MM Dental каждый КТ-снимок комментирует врач — вы видите не просто картинку, а понимаете, что именно на ней изображено и как это влияет на лечение.
Почему «дешевле» может обойтись дороже
На низкокачественном снимке можно пропустить узкий нервный канал или небольшую кисту. В результате — неверный план лечения, осложнения, повторное вмешательство. То есть пациент платит дважды — деньгами и здоровьем. Когда диагностика точна с самого начала, лечение прогнозируемо, быстро и без «сюрпризов». Именно поэтому КТ — не расход, а инвестиция в то, чтобы не переплачивать за ошибки.
Частые вопросы о КТ зубов
▪️ Что такое КТ зубов и для чего его делают?
Компьютерная томография (КТ) — это 3D-снимок челюсти, который показывает все ткани в трёх измерениях. В отличие от обычного рентгена, КТ позволяет увидеть нервы, кость, пазухи, скрытые воспаления или трещины. Его делают перед имплантацией, удалением, ортодонтическим лечением или когда нужно понять, что происходит «внутри» зуба. Это главный инструмент точного планирования лечения без риска.
▪️ В чём разница между рентгеном и КТ зубов?
Рентген показывает лишь двумерное изображение — «тень» зубов. КТ создаёт полную 3D-модель, где можно увидеть глубину, форму, корни, каналы и даже структуру кости. Если рентген нужен для контроля, то КТ — для принятия решений. Это как смотреть на дом: рентген показывает фасад, а КТ — все этажи и проводку внутри.
▪️ Когда нужно делать компьютерную томографию зубов?
КТ делают, когда двумерного снимка недостаточно: — перед имплантацией или костной пластикой, — перед удалением зубов мудрости, — при подозрении на кисту, гранулёму или трещину, — перед ортодонтическим или гнатологическим лечением. Все эти случаи требуют точной информации о кости, нервах и каналах, которую может дать только КТ.
▪️ Обязательно ли делать КТ перед имплантацией?
Да, это обязательный этап современной имплантологии. На панорамном снимке не видно, насколько близко проходит нерв или как расположена гайморова пазуха. КТ показывает толщину и плотность кости с точностью до десятых долей миллиметра. Без этого имплантация проводится «вслепую» и чревата осложнениями. Именно поэтому в MM Dental мы всегда начинаем планирование имплантации с КТ.
▪️ Нужно ли КТ перед удалением зуба мудрости?
Да — если зуб растёт под углом или рядом с нервом. На КТ видно форму и направление корней, расстояние до нижнечелюстного нерва, близость к пазухе. Это позволяет спланировать удаление так, чтобы избежать травмы или потери чувствительности. В MM Dental мы всегда делаем КТ перед удалением «восьмёрок» со сложной анатомией.
▪️ Кому противопоказано КТ зубов?
Есть лишь одно относительное ограничение — первый триместр беременности. Все остальные пациенты могут проходить КТ безопасно: доза излучения настолько мала, что ниже естественного фона, который мы получаем за день на солнце. Если есть сомнения, мы всегда выбираем минимальное поле съёмки (FOV) и режим Low Dose.
▪️ Насколько безопасно КТ зубов для здоровья?
Абсолютно безопасно. Стоматологическое КТ даёт очень малую дозу излучения — 20–60 µSv, то есть меньше, чем вы получаете во время одного авиаперелёта Киев — Барселона. Для сравнения, естественное фоновое излучение за месяц — около 200–300 µSv. Следовательно, КТ не создаёт дополнительных рисков — оно даже «легче», чем обычный рентген на старых аппаратах.
▪️ Какова доза излучения при КТ зубов?
На современных аппаратах Sirona AXEOS и Orthophos, которые стоят в MM Dental, доза зависит от размера зоны сканирования:
- один сегмент — около 20–30 µSv,
- одна челюсть — 40–50 µSv,
- обе челюсти — до 60 µSv.
Это в 100–150 раз меньше, чем при медицинской КТ грудной клетки. И главное — всё проходит в режиме Low Dose, то есть при минимальной интенсивности, достаточной лишь для качественного изображения.
▪️ Можно ли делать КТ во время беременности?
В первом триместре КТ обычно не делают — только при острой необходимости (например, абсцесс или сильное воспаление). После 12 недель процедура возможна в локальном поле (FOV) — ограниченная зона, минимальная доза. Луч в стоматологическом КТ направлен только на голову, поэтому не затрагивает живот и плод. В MM Dental мы всегда согласуем такие случаи индивидуально и, по возможности, откладываем исследование до безопасного срока.
▪️ Накопляется ли излучение после нескольких снимков?
Нет. Рентгеновское излучение не остаётся в организме — после процедуры тело не «сохраняет» радиацию. При этом его биологический эффект кумулятивный, поэтому каждое исследование должно быть обоснованным. В стоматологии дозы настолько низкие, что даже несколько КТ или рентгеновских снимков в год не создают клинически значимого риска. Всё выполняется по принципу ALADA — «Настолько низкая доза, насколько это диагностически целесообразно», то есть минимальная доза, достаточная для качественной диагностики.
▪️ Что безопаснее — панорамный снимок или КТ?
На современных томографах разница минимальна. В режиме Low Dose КТ может иметь даже меньшую дозу, чем старые панорамные аппараты. Зато КТ даёт намного больше информации — врач видит нервы, кость, пазухи и может избежать ошибок. С точки зрения пользы и соотношения «риск/результат» КТ безопаснее, потому что позволяет точнее лечить и не делать повторных процедур.
▪️ Как часто можно делать КТ зубов?
При необходимости — даже несколько раз в год. Главное правило — принцип ALADA: настолько мало, насколько это диагностически целесообразно. Мы никогда не делаем КТ «для перестраховки». Но если нужно проверить заживление после имплантации или оценить результат костной пластики — повторное исследование безопасно и даёт врачу точную картину восстановления.
▪️ Сколько стоит КТ зубов в Киеве?
В Киеве цена КТ колеблется в среднем от 500 до 1500 грн, в зависимости от аппарата, зоны сканирования и качества обработки снимка. В MM Dental мы используем томографы Sirona AXEOS и Sirona Orthophos премиум-класса. Стоимость включает не только само сканирование, но и расшифровку врача, обработку данных и копию в формате DICOM. Это полноценная диагностика, а не просто «снимок на диске».
▪️ Можно ли сделать КТ без направления и получить результат сразу?
Да, конечно. КТ в MM Dental можно сделать без направления, даже просто для проверки состояния зубов или после лечения. Процедура занимает около 5 минут, а результат готов мгновенно: снимок и заключение врача вы получаете во время того же визита. Копию записываем на флешку. Никакого ожидания — всё сразу и прозрачно.
▪️ Какова точность КТ-аппаратов?
Наши томографы Sirona Axeos и Orthophos SL 3D передают изображение с точностью до 0,08 миллиметра (80 микронов). Это уровень, сопоставимый с толщиной человеческого волоса (~0,07 мм), и он позволяет увидеть даже тонкие костные пластинки, микротрещины или узкие корневые каналы. Такая детализация нужна, чтобы планировать имплантацию и эндодонтическое лечение без предположений — только на точных данных. Точность КТ напрямую означает точность вмешательства.
▪️ Какой КТ-аппарат лучший в Киеве?
Среди мировых лидеров 3D-томографии — Sirona (Dentsply Sirona), Planmeca и Carestream.
В MM Dental установлен аппарат Sirona Axeos, который обеспечивает одно из лучших соотношений доза/качество среди современных CBCT-систем. Благодаря технологии Direct Conversion Sensor (DCS) рентгеновское излучение преобразуется сразу в цифровой сигнал без промежуточного этапа, поэтому изображение получается максимально чётким даже в режиме Low Dose (20–60 µSv).
Такие системы сертифицированы FDA и CE и применяются в ведущих клиниках Европы и США для сложных хирургических и имплантологических кейсов.
▪️ Почему важна качество изображения при КТ?
Потому что именно оно определяет, заметит ли врач мелкие детали. Если на снимке «шум» или нечёткость — можно пропустить кисту, микротрещину или тонкую костную пластинку. А это уже риск ошибки в диагнозе. Когда изображение высокой чёткости, врач видит каждый слой и может спланировать лечение с ювелирной точностью — без догадок и риска повторных вмешательств.
▪️ Больно ли делать КТ зубов?
Нет, совсем не больно. КТ — полностью бесконтактная процедура: ничего не касается дёсен или зубов, ничего не вводится в рот, ничто не давит. Вы просто стоите или сидите, аппарат медленно вращается вокруг головы — и всё. Никаких уколов, звуков или неприятных ощущений. Большинство пациентов даже не успевают заметить, что процесс уже закончился.
▪️ Страшно ли делать КТ, если боюсь замкнутых пространств?
Нет, не страшно. Стоматологический томограф — открытый аппарат, не похожий на «трубу» из больниц. Вы видите комнату вокруг, можете свободно дышать и общаться. Процедура длится 10–20 секунд, поэтому даже люди с лёгкой клаустрофобией переносят её спокойно. В MM Dental мы часто делаем пробное вращение без съёмки, чтобы пациент почувствовал, что всё абсолютно комфортно.
▪️ Как выглядит процедура КТ-снимка?
Вы заходите в рентген-кабинет, снимаете металлические украшения — и становитесь перед аппаратом. Подбородок опирается на мягкую подставку, голову фиксируют лёгкие опоры, чтобы она не двигалась. Аппарат тихо вращается вокруг головы 10–20 секунд. После этого на экране сразу появляется ваше 3D-изображение. Вместе с подготовкой всё занимает до 5 минут.
▪️ Зачем КТ перед лечением каналов?
Потому что рентген не показывает всю анатомию корней. На КТ видны все каналы, в том числе дополнительные или слившиеся, которые часто остаются незамеченными. Можно определить, есть ли воспаление за верхушкой, где именно оно расположено, есть ли перфорация или трещина. Такая точность позволяет провести лечение один раз — качественно и без повторных болей из-за «невидимых» каналов.
▪️ Помогает ли КТ выявить кисту или гранулёму?
Да, и это один из главных показаний к КТ. Трёхмерное изображение показывает реальные границы поражения, его глубину и связь с соседними структурами. На обычном рентгене киста может выглядеть как тень или пятно, тогда как на КТ видны даже очаги 2–3 мм. Это помогает решить — лечить канал, делать резекцию или удалять зуб. И, главное, не путать кисту с безобидными образованиями.
▪️ Как КТ помогает при планировании брекетов или элайнеров?
КТ даёт ортодонту полную 3D-модель челюстей и зубов, показывает толщину кости, расположение корней, симметрию суставов. Это позволяет прогнозировать движение каждого зуба без риска повредить костную стенку. Также КТ помогает проверить положение зубов мудрости, оценить дыхательные пути и прикус. Без этого сложно создать точный цифровой план лечения.
▪️ Можно ли на КТ увидеть трещину в зубе?
Да. Трещины часто не видны ни на рентгене, ни под микроскопом, если они проходят внутри корня. КТ показывает такие дефекты благодаря высокой разрешающей способности (0,04 мм). Это помогает решить — можно ли сохранить зуб или лучше заменить его имплантатом. Поэтому в сложных, непонятных случаях КТ — единственный способ поставить точный диагноз.
▪️ Где сделать КТ зубов в Киеве рядом со мной?
В MM Dental компьютерная томография доступна в двух клиниках:
- Киев, ул. Ёлочная, 60/1 (Харьковский массив, возле метро Бориспольская),
- Киев, Новомостицкая, 25 Б (Виноградар).
Каждый филиал оснащён современным томографом Sirona, поэтому вы можете сделать КТ там, где удобно. Запись возможна по телефону или онлайн.
▪️ Работает ли КТ в выходные дни?
Да. Все клиники MM Dental работают ежедневно с 9:00 до 21:00, без выходных. Это удобно для пациентов, которые не могут посетить врача в будни. Запись на КТ доступна даже в день обращения — достаточно позвонить или оставить заявку на сайте.
▪️ Можно ли записаться на КТ онлайн?
Да, разумеется. На странице КТ есть форма онлайн-записи: выбираете клинику, удобное время и получаете подтверждение. Также можно написать в Viber или Telegram по номеру 097 332-4-999 или 093 332-4-999. Всё занимает меньше минуты, без очередей и ожиданий.
▪️ Можно ли сделать КТ без предварительной записи?
В большинстве случаев — да. Если вы уже на приёме, врач может сразу направить на КТ, и процедура займёт всего 5 минут. Если же вы хотите просто провериться — лучше позвонить заранее, чтобы мы зарезервировали время без ожидания. Мы всегда найдём возможность принять вас в удобный день.
Итог
Ещё несколько лет назад КТ в стоматологии казалась чем-то «для сложных случаев» или «только для хирургов». Сегодня — это стандарт, без которого современная стоматология не может быть точной. Просто потому, что видеть в трёх измерениях — это не роскошь, а условие безопасности.
КТ в стоматологии — одна из самых безопасных диагностических процедур. Доза излучения настолько мала, что риск от недиагностированной проблемы значительно превышает риск от самого снимка. Современные технологии, такие как Sirona AXEOS, довели этот баланс до совершенства: максимум информации — при минимальной нагрузке.
Когда речь идёт о хирургии, имплантации или воспалении у верхушки корня — любое предположение может стоить зуба или нерва. Поэтому отказываться от КТ «чтобы сэкономить» — как ехать в тумане без фар: формально можно, но зачем рисковать?
