Качественная имплантация зуба — это полноценное восстановление жевательной функции и отсутствие осложнений во время и после операции.
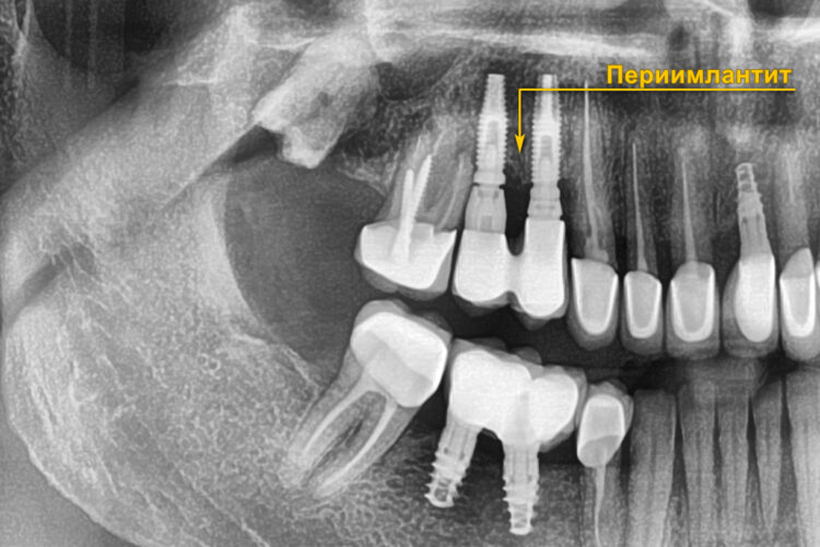
Основное осложнение, которое мы встречаем — это переимплантит (воспаление тканей вокруг имплантата).
Переимплантит может появиться по многим причинам, например:
- перегрев кости. Когда имплант устанавливается без физиодиспенсера (нет охлаждения сверла и, как результат, перегревается кость)
- недостаточная гигиена полости рта
- перегрузка импланта. Происходит из-за неправильного расположения имплантата в кости.
Осложнения после или во время имплантации могут быть из-за того, что хирург затрагивает анатомические образования, которые расположены на верхней и нижней челюсти. Например, устанавливая имплантат на верхней челюсти можно «промахнуться» и установить имплант прямо в гайморову пазуху. Конечно, можно выйти из этой ситуации: извлечь этот имплантат и установить большего размера, но при этом, более короткий имплант.
Еще осложнения могут быть, например, когда при установке импланта на нижней челюсти затрагивается (или сжимается) нижнечелюстной нерв. В такой ситуации у пациента появляются сильные болевые синдромы. Здесь, опять же, необходимо извлечь имплант. Но, самое страшное, что установка импланта с повреждением нерва влечет за собой онемение подбородка и щеки, которое может длиться долгое время, иногда годами.
Кроме нижнечелюстного нерва, при установке имплантата на нижней челюсти есть риск повредить артерию в подъязычной области. Кровотечение после повреждения артерии очень интенсивное, его сложно остановить, но самое страшное, что эту артерию сложно поймать. Потому что, когда артерия разрывается, она сокращается и буквально улетает в подъязычное пространство.
Все эти случаи могут возникнуть в результате неправильной диагностики и планирования имплантации, когда врач не уделил должного внимания изучению КТ пациента и планированию.
Из чего состоит качественная имплантация зубов?
- Диагностика и планирование имплантации.
- Подготовка к имплантации.
- Имплантация.
- Послеоперационный период.
Диагностика и планирование имплантации
- Осмотр пациента, чтобы увидеть место отсутствующих зубов.
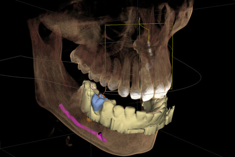
- Рентгенодиагностика. Ранее она включала в себя прицельный рентгеновский снимок или ортопантомограмму. Минус этих снимков заключается в том, что у них есть погрешность до 8 мм, то есть на панорамном снимке, если мы берем анатомические образования (нижнечелюстной нерв, гайморову пазуху) мы не сможем правильно подобрать имплантат и соответственно правильно спланировать такую операцию. При появлении компьютерной томографии у нас погрешность (в зависимости от томографа) в среднем 1 мм. И этот один миллиметр позволяет нам спланировать качественную имплантацию. В современных компьютерных томографах мы можем подобрать по специальной базе имплантатов имплантат любой длинны и диаметра, любого производителя.
В основном, стоматологические клиники предлагают на выбор 2-4 производителя имплантов, мы же можем предложить пациентам имплантаты любого производителя потому, что не привязываемся к производителю, а в первую очередь, смотрим на эффективность того или иного импланта в каждом отдельном клиническом случае.
Этапы контроля при рентгенодиагностике:
- наличие кости
- наличие расстояния до важных анатомических образований.
При помощи диагностического аппарата (компьютерный томограф) мы изучаем толщину кости, плотность кости и определяем, будем ли использовать костную пластику.
В зависимости от выбранного типа имплантации мы рассчитываем стоимость, а она может заметно отличаться из-за множества причин:
- типа имплантации
- типа зубного импланта
- производителя зубного импланта
- сопутствующих операций
Пример 1. Функциональная имплантация. Когда, например, отсутствует 7-й нижний зуб (жевательный зуб) и нужно поставить имплантат. Пациенту необходимо качественно жевать, пережевывать пищу, эстетика его в данном случае интересует меньше, так как зуб при разговоре или улыбке не видно. Но, после удаления зуба у нас есть минимальный дефект по кости, допустим, отсутствие 4 мм кости. Мы можем предложить такому пациенту обычную функциональную имплантацию когда делается маленький прокол, ставится имплантат и надевается коронка.
Пример 2. Функционально-эстетическая работа это когда отсутствует верхний 4 или 5 зуб, который видно при улыбке при этом у нас мало кости. Но, пациент хочет чтобы этот зуб выглядел «настоящим», таким, чтобы при улыбке не было видно, что это не родной зуб. И если по КТ видно, что кости мало, например, отсутствует 2-4 мм применяем следующую методику, когда одномоментно с имплантом добавляется отсутствующий объем кости, ставится имплантат и дальше надевается коронка.
Пример 3. Эстетическая имплантация когда отсутствует средний зуб. В таком случае делается пластика кости, через 4 месяца на вторичном КТ проверяем какой объём кости получили, если не хватает нужного объёма ещё раз добавляем кость и ставим имплантат. Далее, мы делаем временную коронку, ставим эту коронку для того, чтобы сформировалась десна будущего зуба. После, при замене временной коронки на постоянную, мы смотрим на то, сколько не хватает слизистой, и проводим пластику слизистой (подтягиваем её).
Все это мы рассматриваем на этапе диагностики и планирования имплантации.
На этапе планирования очень важно взаимодействие хирурга-имплантолога с ортопедом. Потому что конечная цель получить зуб, а не просто имплант. И планируется не так, что хирург ставит имплантат, а ортопед затем подстраивается под него, а наоборот, сначала ортопед планирует размещение коронки, а затем уже хирург смотрит как ставить имплантат. Это очень важный аспект качественной имплантации зубов.
Подготовка пациента к имплантации
Второй этап успешной имплантации это подготовка пациента к имплантации.
Перед имплантацией зубов должна быть проведена идеальная гигиена полости рта. Безусловно, не должно быть зубных отложений (зубного налёта, зубного камня). Стоит понимать, что все виды имплантации очень чувствительны и требовательны к гигиене полости рта пациента.
Должны быть вылечены все зубы, не должно быть кариозных поражений, пародонтитов, периодонтита, глубокого кариеса, пульпита.
Если первый этап (диагностика и планирование) и второй этап (подготовка пациента) были проведены верно, то возможные осложнения будут сведены к минимуму.
Имплантация
Наверное, это важнейший этап, где закладывается основа для получения хорошего результата имплантации. Для проведения качественной имплантации врач должен быть опытным хирургом-имплантологом. У него должна быть лицензия, которая представляет собой сертификат о прохождении обучения, выдана Минздравом Украины.
В стоматологической клинике должен быть кабинет специально оборудованный для хирургических операций. Он должен быть стерильным, обложен в кафель (потому, что он моется). Должна быть предоперационная комната, в которой пациент переодевается в стерильную одноразовую одежду.
В хирургическом кабинете должно быть достаточно места для свободного нахождения хирурга и как минимум двух ассистентов. А лучше, чтобы еще дополнительно могли комфортно работать (при необходимости) 1-2 врача.
Должен быть специальный инструментарий: физиодиспенсер, пьезотом, оборудование для анестезиолога, мониторы, бестеневые хирургические лампы, видеокамеры для записи проведения операции, помещение должно быть оборудовано вытяжкой и аппаратом постоянного кварцевания, при работе которого можно находиться людям.
Послеоперационный период
Чаще всего, осложнения после имплантации бывают в случае, когда пациент не выполняет рекомендации врача. Например, бывает после имплантации, согласно рекомендациям, пациент принял антибиотик, а затем употребляет спиртные напитки. Это недопустимо. Или после имплантации и приёма антибиотика пациент пошел в сауну и это недопустимо, и вот в таких случаях часто бывают осложнения.
После проведения имплантации зубов есть четкий протокол, который должен выполнять пациент, а именно:
- необходимо принимать противовоспалительный препарат 6 дней
- антибиотик 5 дней
- через 2 недели необходимо принимать минералы, препараты кальция (в течение 1 месяца).
Итог имплантологического лечения
Успех проведения дентальной имплантации базируется на нескольких важных этапах: это точная диагностика и планирование, хорошая подготовка к операции, правильно проведенная имплантация и выполнение рекомендаций врача в послеоперационный период.
