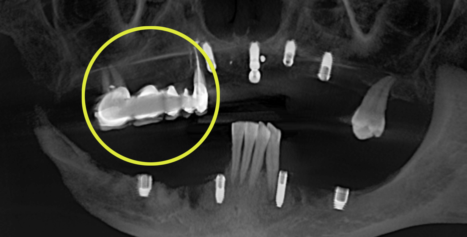
Согласно данным на снимке импланты были расположены не в одной плоскости (нарушена параллельность) и это могло вызвать сложность при протезировании цельнолитой конструкцией, однако при слаженной работе врача и зубного техника был шанс получить положительный результат.
Дополнительно в анамнезе пациентки присутствовал сахарный диабет.
Итак, приняв во внимание пожелания пациентки и анамнез ее здоровья, врач предложил следующий план лечения:
- Добавить 1 зубной имплант Straumann в области зуба 1.6
- Опорные зубы мостовидного протеза 1.4 и 1.7 удалить
- Зубы 4.1, 3.1, 3.2, 3.3 удалить в связи с подвижностью этих зубов первой и второй степени
- Все хирургические манипуляции провести одномоментно, то есть за один визит
- Применить оригинальную протетику i-System при протезировании зубов
- В работе применить mock-up модель в два этапа для определения протетической плоскости и параллельности
- Протезирование выполнить цельнолитым зубным протезом из диоксида циркония
- Зубной протез усилить титановой балкой.
После консультации врача-парадонтолога пациентка все же приняла решение удалить зубы нижней челюсти в связи с высоким риском потери зубов и, как следствие, риском необходимости нового зубного протеза для нижней челюсти.
Протетику для оригинальной имплантологической системы i-System заменили производителем Bicon (США), в связи с довольно длительным (от 4 недель) сроком ожидания, о котором сообщил представитель компании. К тому же, стоимость за эти материалы в результате оказалась ниже.
