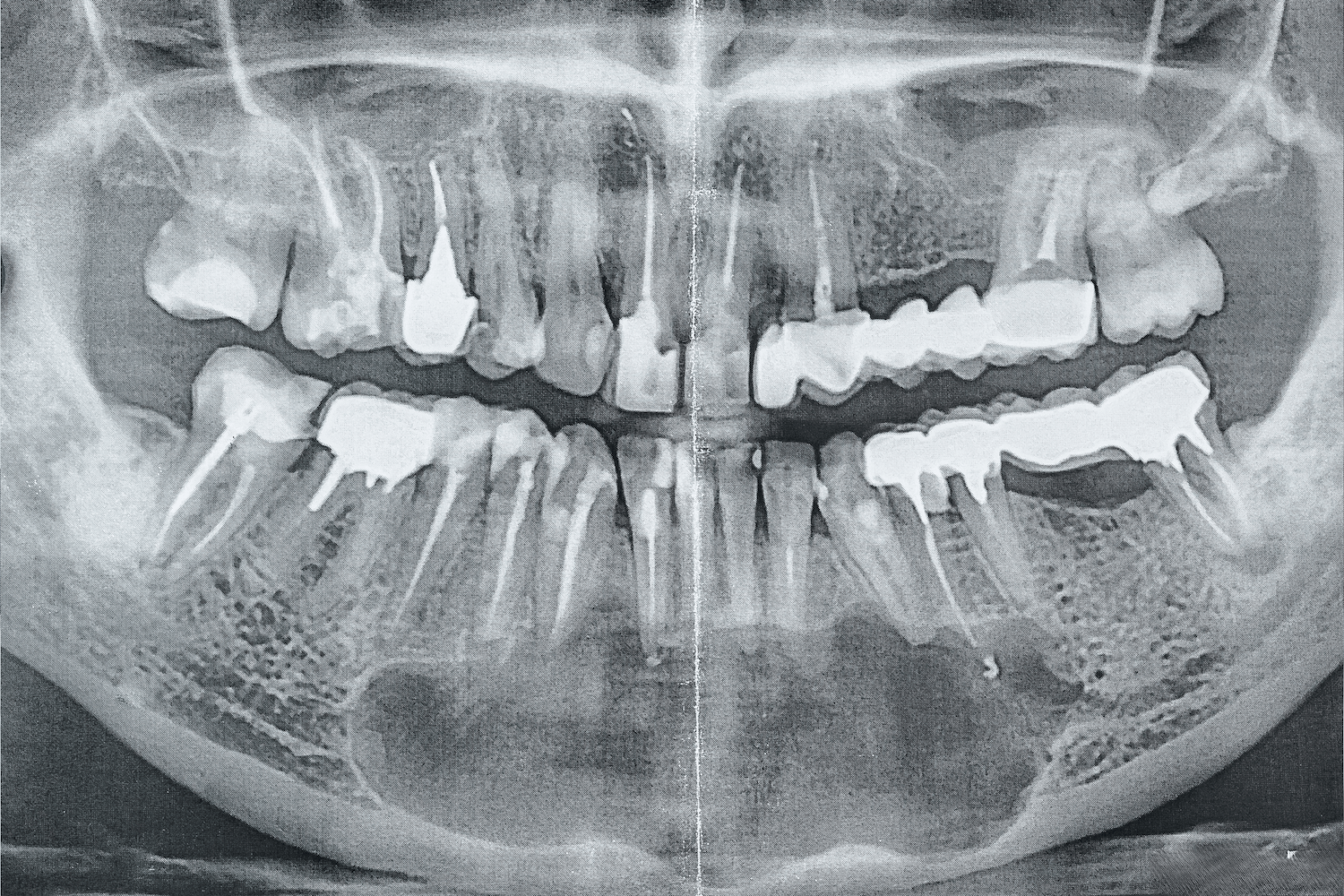
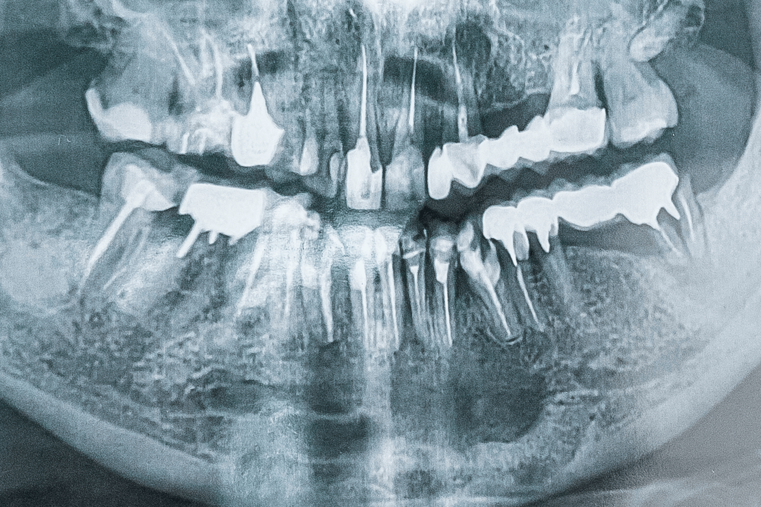
Около десяти лет назад к нашему врачу Максиму Макаренко обратилась пациентка с целью получить альтернативное мнение врача. Во время диагностики на панорамном снимке врач обнаружил интактные (здоровые) зубы на нижней челюсти и в области подбородка, в области апексов фронтальных зубов кисту с четким очертанием. Киста была достаточно большого размера, а именно от зуба 4.5 до зуба 3.5. То есть почти все зубы нижней челюсти были поражены новообразованием.
Дополнительно пациентку беспокоило онемение губы с обеих сторон, низа подбородка (из-за давления кисты на выход нерва из ментального отверстия).
Ранее пациентка посетила хирурга назначившего операцию по удалению новообразования — пациентка не соглашалась на операцию. Нежелание делать операцию было связано с тем, что существовал высокий риск потери зубов в результате образования полости после такой процедуры.
После осмотра, изучения ОПТГ-снимка и выслушав жалобы пациентки, врач обнаружил зуб, вызвавший образование кисты (зуб 3.2) и предложил лечение, которое позволит сохранить все зубы. Пациентка согласилась на лечение, состоявшее из следующих этапов:
