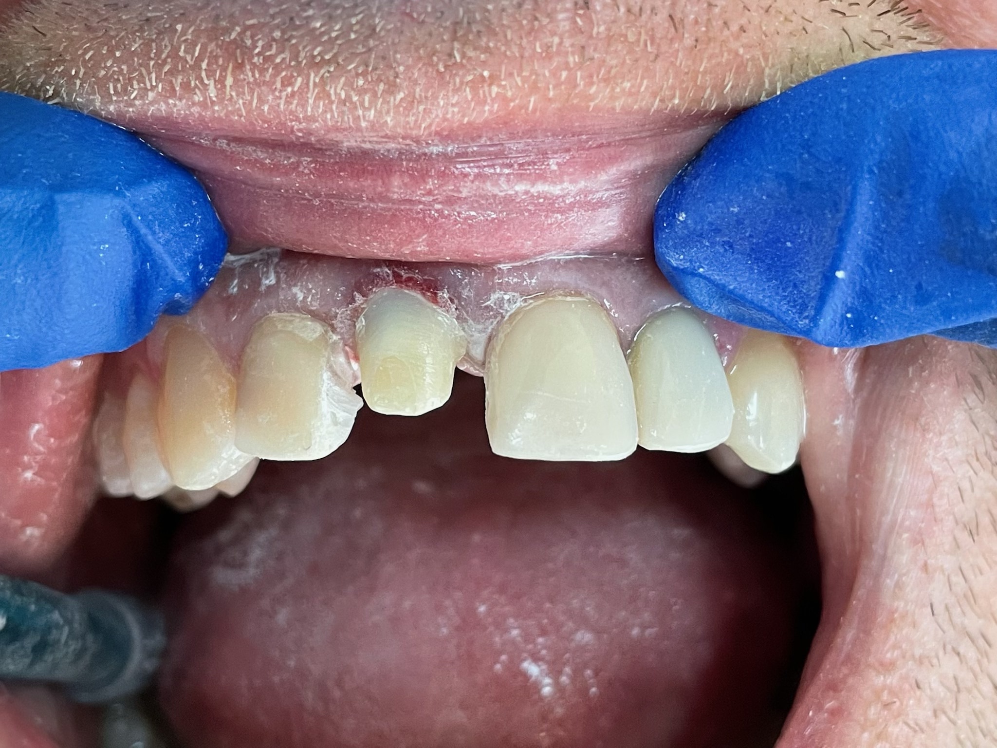
К нам обратился пациент с жалобой на подвижность переднего верхнего зуба. На самом деле была подвижность коронковой части зуба, а не всего зуба. Зуб ранее леченый и раз в полгода происходила разцементировка коронки. Коронка отпадала, потому что у корня зуба был скол под десну из-за этого периодически вымывался цемент на который крепится коронка.
Мы предложили несколько вариантов решения проблемы:
- установка зубного импланта с последующим протезированием
- установка мостовидного протеза (от этого варианта пациент отказался, так как для установки протеза необходимо было обтачивать соседние зубы).
После КТ-исследования было принято совместное с пациентом решение об удалении корня зуба и аугментации (наращивании) кости в связи с тем, что объема кости не хватало для дальнейшей имплантации. Объем кости уменьшился из-за хронической инфекции за корнем зуба (на КТ-снимке видна киста и перфорированный (пробитый штифтом) корень).
Фактически, восстановление зуба прошло в 3 этапа и по времени заняло 6 месяцев.
