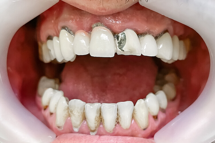
К нам в клинику обратился пациент 1982 года рождения с жалобами на эстетический дефект зубов на верхней и нижней челюстях, невозможность пережёвывания пищи и боль при приеме пищи.
На верхней челюсти металлокерамическая конструкция (мост) со сколами керамики. Со слов пациента после травм. На нижней челюсти жевательные зубы с большими кариозными полостями и отсутствующие шестые зубы, большое количество зубов с пришеечным кариесом.
Основным требованием пациента было: короткие сроки изготовления конструкции без хирургического вмешательства (имплантации).
Нами было предложено следующее лечение: КТ диагностика с планированием лечения, гигиенические процедуры (профессиональная чистка зубов) после чего было проведено эндодонтическое лечение (лечение корневых каналов) опорных зубов и санация кариозных зубов верхней, и нижней челюстей.
Подготовка зубов заняла 4 посещения (4 дня), а изготовление мостовидных конструкций с фиксацией на зубы 1 день.
