Кейс #1. Одномоментная имплантация переднего зуба
К нам обратился молодой человек (31 год) с жалобой на отёк десны в области переднего зуба и болезненных ощущениях при кусании.
Из анамнеза пациента: зуб ранее лечился эндодонтически несколько раз (было лечение канала зуба).
После КТ-исследования мы увидели 2 "перфорации" на корне зуба 1.2. с выходом свищевого хода на дёсны. Для того чтобы сохранить объём кости в эстетически значимой зоне, было принято решение удалить зуб и установить имплантат с временной коронкой.
КТ-исследование
Имплантация
Сканирование и протезирование
Кейс #2. Одномоментная имплантация зубов
К нам в клинику обратилась пациентка 1951 года рождения с такими жалобами: невозможность пережевывания пищи, подвижность зубов, неприятный запах изо рта, боль в дёснах в связи с тем, что установленные протезы давят на дёсны, воспаление дёсен и кровоточивость. У пациентки на верхней челюсти почти все зубы, но некоторые из них имеют значительную подвижность, потому что съёмный протез который фиксируется на верхнюю челюсть, расшатал опорные зубы.
Нами было предложено следующее лечение: КТ диагностика с планированием лечения, эндоподготовка под протезирование фронтальных зубов верхней и нижней челюстей и обработка их под временные коронки, удаление жевательных (подвижных) зубов верхней челюсти с одновременной имплантацией и дополнительно установленные импланты на жевательные зубы нижней челюсти.
КТ-исследование
Лечение зубов
Имплантация
Зубные коронки
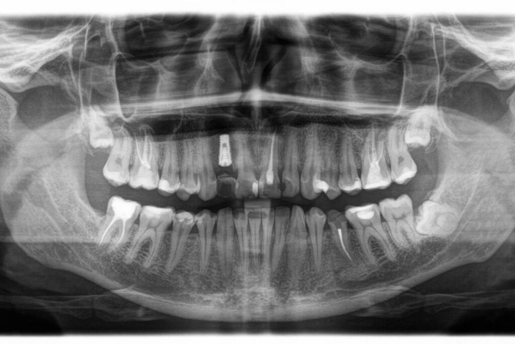
Кейс #3. Одномоментная имплантация переднего зуба
К нам обратился пациент с жалобой на подвижность коронки переднего верхнего зуба и ее частой разцементировки. Коронка спадала, потому что у корня зуба был скол под десну из-за этого периодически вымывался цемент на который крепится коронка.
Мы предложили 2 варианта решения проблемы:
- установка зубного импланта с последующим протезированием;
- установка мостовидного протеза, от этого варианта пациент отказался, так как соседние зубы на которые можно было бы крепить мост тоже были покрыты коронками, соответственно, нагрузка на них возросла бы и прочность конструкции могла бы быть сомнительной.
После КТ исследования было принято совместное с пациентом решение об удалении корня зуба и одномоментной установке имплантата SGS. Фактически, восстановление зуба прошло в 1 этап и по времени заняло 1 час.
Фотография установленного имплантата и временной зубной коронки выполнены сразу после операции, через 3 дня швы на десне будут сняты, а уже через неделю покраснение и отечность спадет.
КТ исследование, удаление зуба
Имплантация зуба
Протезирование
