Выравнивание зубов металлическими брекетами

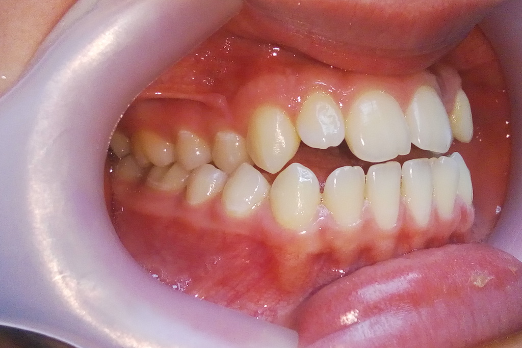
Родители молодого человека обратились в стоматологию Максима Макаренко с жалобами на неудовлетворительный эстетический вид улыбки (неровные зубы), а также на невозможность нормального откусывания пищи по причине несмыкания передних зубов и избыточного выдвижения нижней челюсти вперёд. Пациент пожелал выровнять зубной ряд, ввести все зубы в контакт для полноценного откусывания пищи, а также исправить смещенную центральную линию по резцам верхней и нижней челюсти, поскольку данный дефект визуально делал лицо ассиметричным.

Лечение данного клинического случая представляло собой сложную задачу, поскольку у пациента имелся ряд серьезных проблем, в частности:

  • выдвинутая вперед нижняя челюсть за счет особенностей строения лицевого скелета (избыточный рост нижней челюсти, мезиальный прикус)
  • передний открытый прикус (несмыкание передних зубов)
  • перекрестный прикус справа, скученность зубов.

Кроме того, присутствовала выраженная лицевая асимметрия и смещение центральной линии. Для лечения вышеперечисленных патологий, в подобных ситуациях, как правило, помимо установки брекет-системы, необходимо прибегать и к ортогнатической хирургии на челюстях. Врачи нашей клиники владеют методиками, которые в большинстве случаев позволяют избежать подобных оперативных вмешательств.

1 ЭТАП

КТ-исследование

Пациенту была проведена рентгенография, созданы цифровые 3D-модели челюстей, проведены детальные измерения и спланирован конечный результат.
2 ЭТАП

Лечение зубов

Предложенный пациенту план лечения с последующей фиксацией брекетов, помимо прочего, предполагал подготовку полости рта путем проведения профессиональной гигиенической чистки и санации (лечения кариеса).
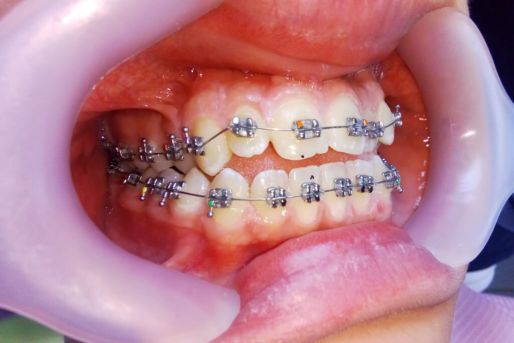
3 ЭТАП

Фиксация брекет-системы

Врачом-ортодонтом было принято решение о фиксации лигатурной металлической брекет-системы на верхнюю и нижнюю челюсти за одно посещение.
4 ЭТАП

Удаление зуба мудрости

Удаление нижнего 8-го зуба было проведено планово через 3 месяца после фиксации брекетов, поскольку он мешал перемещению зубов нижней челюсти. Верхние 8-е зубы было решено оставить, так как на результат лечения они не влияли и при желании пациент сможет удалить их в любое другое время.
5 ЭТАП

Снятие брекет-системы

Пожелания пациента были полностью выполнены: смыкание зубов нормализовано, откусывание пищи больше не представляет сложностей. Центральная линия передних зубов совпадает, лицо выглядит симметричным и улыбка приобрела приятный вид.

В данном случае нам удалось обойтись без хирургического вмешательства (ортогнатической хирургии). Положительный результат был достигнут путём использования стандартной металлической брекет-системы при постоянном ношении пациентом эластических тяг (эластиков).

Время лечения составило 12 месяцев. Пациенту для полной стабилизации положения зубов и во избежания рецидива (повторного искривления зубного ряда) было рекомендовано ношение ретейнеров в течении следующих 3-5 лет.

Запишитесь на консультацию к ортодонту