В нашу клинику обратилась женщина с многолетней усталостью в глазах. Она не могла нормально пережевывать пищу, стеснялась своей улыбки и постоянно подсознательно прятала лицо во время разговора. Ее беспокоили не только эстетические проблемы — отсутствуют зубы, старые мостовидные протезы, потемневшие пломбы, — но и функциональный дискомфорт, каждый день напоминавший о себе. Во время первичного осмотра (визуально) врач увидел:
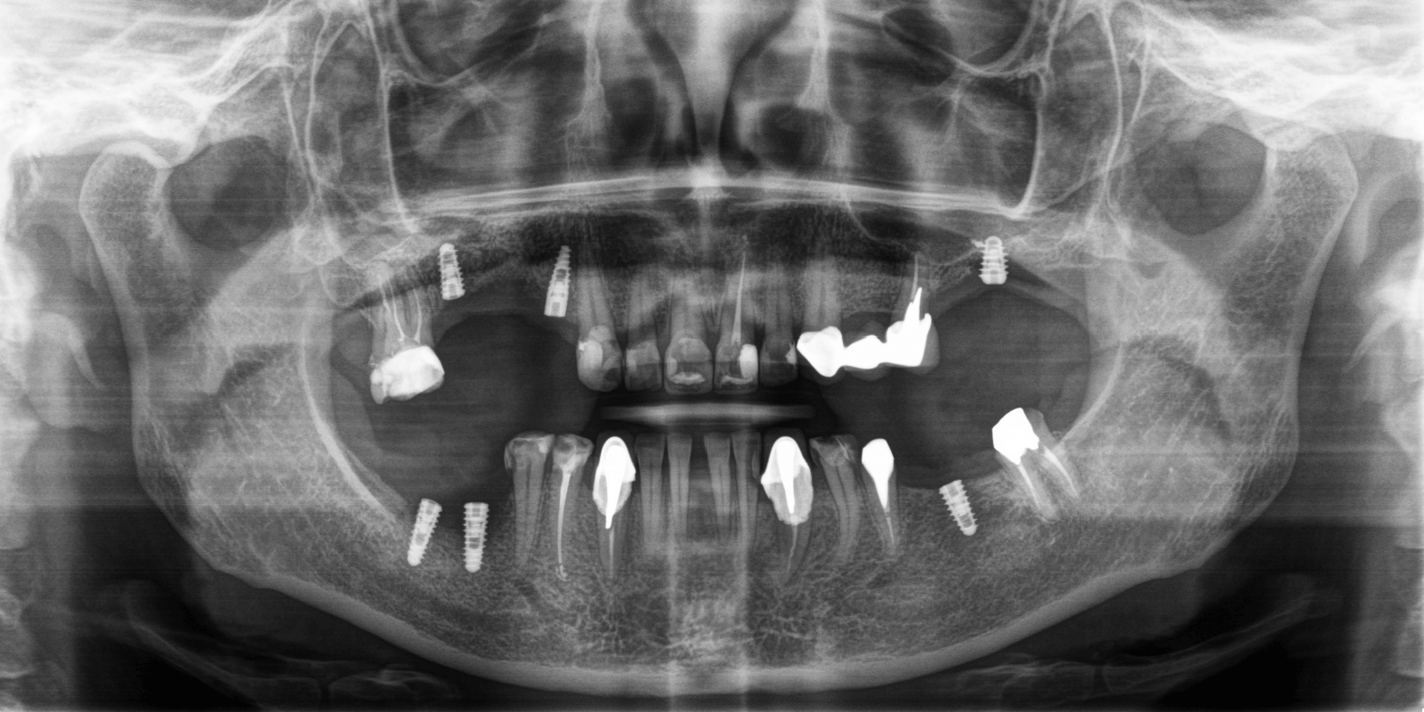
- На верхней челюсти: 5 фронтальных зубов покрытых реставрационными пломбами, в области зубов 2.3-2.5 установлен металлокерамический мостовидный протез, 5 зубов отсутствуют. Установлен мостовидный протез в области зубов 1.4, 1.5, 1.6 с опорой на зубы 1.5 и 1.6. Зуб 1.7 покрыт металлокерамической коронкой.
- На нижней челюсти отсутствуют 5 зубов, передние зубы с большой тремой между ними, зубы 4.3 и 3.3 покрыты коронками из металлокерамики, на зубах 3.4, 3.5, 3.8 установлены большие корневые вкладки.
После осмотра врач направил пациентку на 3D КТ-исследование обеих челюстей, чтобы полноценно оценить состояние зубов и предложить обоснованный план лечения. На КТ был выявлен раскол корней зубов под мостовидным протезом на зубах 1.4-1.6.
На основе пожеланий пациентки и полученных данных во время диагностики врач предложил следующий план лечения:
- Расколотые зубы 1.5, 1.6 (под мостовидным протезом) – удалить.
- Одновременно с удалением выполнить операцию по аугментации костной ткани.
- Отсрочено провести операцию по имплантации в области зубов 1.4 и 1.6.
- Одноэтапно установить зубные импланты в области зубов 2.6, 3.6, 4.6, 4.7.
- Ортопедическим методом поднять зубной прикус для предотвращения дальнейшего разрушения зубного ряда и с целью снятия нагрузки на суставы.
На тот момент пациентка согласилась, и наша команда приступила к лечению, которое состояло из следующих этапов:
Профессиональная гигиена полости рта
Хирургический этап
Хирургический этап
Реставрация. Установка формирователей десны
Сканирование
Примерка модели зубов
Подготовка к протезированию
Фиксация коронок
Итог
Мы не просто вылечили зубы. Мы собрали улыбку по частицам, как мозаику — с терпением, заботой и профессионализмом. Женщина, когда-то боявшаяся открыто говорить, теперь смеется с уверенностью. Она вернулась не только к врачу – она вернулась к себе.
Мы искренне надеемся, что в этот раз она будет приходить к стоматологу не из-за сколов, а просто на профилактику, с чашкой кофе в руке и спокойной улыбкой на лице. Именно для таких историй мы и работаем.
☝🏻 Хотите так же? Напишите нам — расскажем, с чего начать, подберем план лечения подстроимся под ваше время и возможности. Или звоните по телефону.
