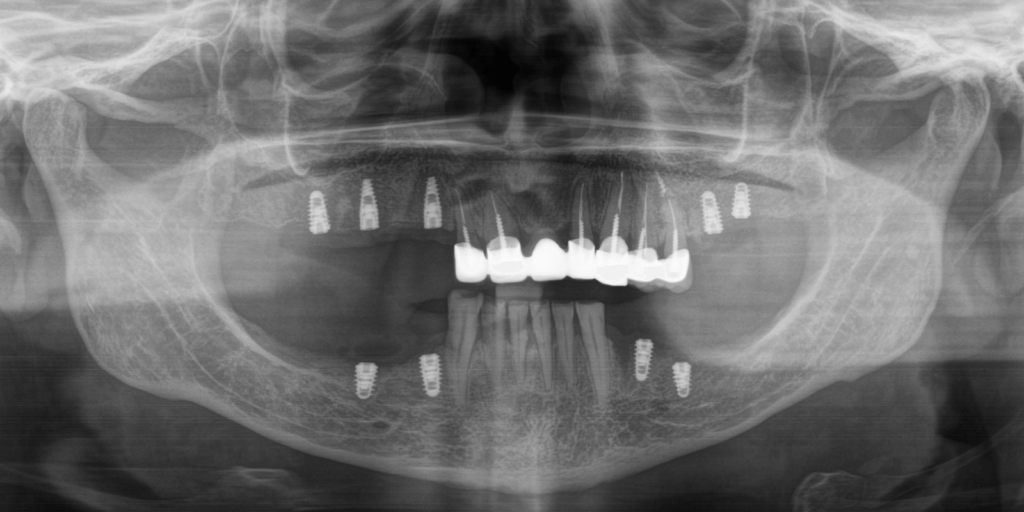
В нашу клинику обратилась пациентка с жалобами на эстетический дефект зубов, и невозможность пережевывать пищу. Врач провел предварительный осмотр и назначил КТ. На полученном КТ-снимке наблюдался металлокерамический мостовидный протез на верхней челюсти, керамическое покрытие на мостовидном протезе было повреждено (со сколами) в результате естественного износа из-за длительной эксплуатации.
В отдельных клинических ситуациях было бы уместно предложить съемное протезирование (бюгельный протез), однако в этом случае были показания к поднятию прикуса, поэтому пациентке был предложен следующий план лечения:
- Перед началом лечения провести профессиональную гигиену полости рта.
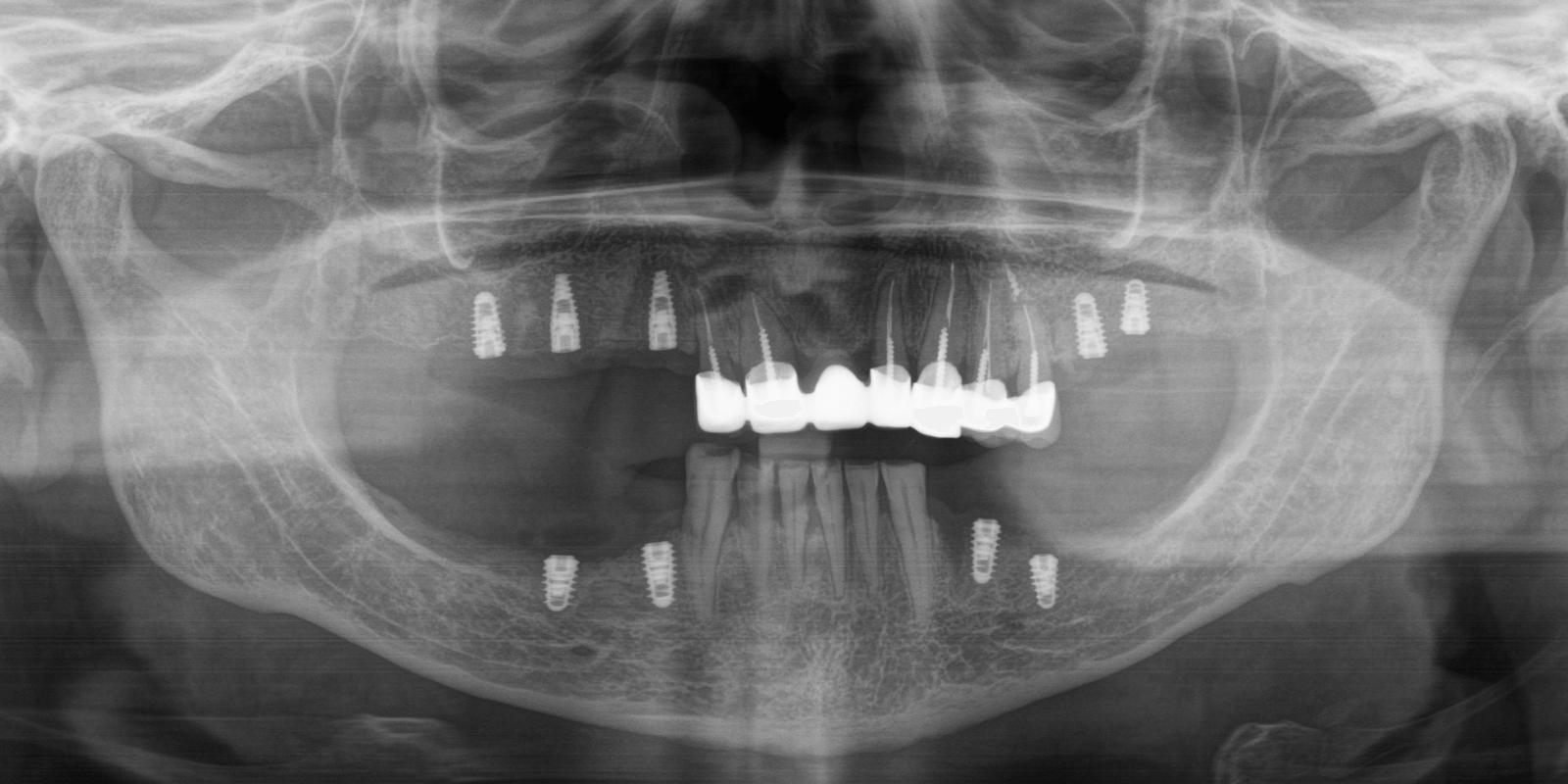
- Установить 9 зубных имплантов: 5 – на верхней челюсти и 4 – на нижней.
- Остаток корня зуба 3.4 удалить одноэтапно с имплантацией.
- Имплантацию зубов выполнить двухэтапной техникой.
- При операции применять местное обезболивание.
- Протезирование выполнить с использованием mock-up модели.
- Ортопедические конструкции изготовить из диоксида циркония, цвет bleach-2.
Лечение состояло из следующих этапов:
Консультации. План лечения
Профессиональная гигиена полости рта
Хирургический этап
Сканирование. Установка формирователей десен
Изготовление и примерка mock-up
Препарирование. Временное протезирование
Протезирование
Итог
С момента первого визита прошло чуть менее трех месяцев. И когда пациентка в последний раз посмотрела в зеркало – мы увидели не просто улыбку. Мы увидели, как человек словно вернулся к себе.
Ее глаза засияли. Плечи расправились. Она начала смеяться громче. Ее жизнь изменилась не потому, что появились новые зубы, а потому, что исчезли все комплексы, которые годами мешали жить свободно.
Наш подход это не о "поставить имплант". Это о возвращении уверенности, радости, себя. Мы верим, что у каждого человека должна быть улыбка, которую не хочется прятать.
☝🏻 Если вы давно думаете о том, чтобы наконец решить свою стоматологическую проблему – это знак. Запишитесь на консультацию. И мы вместе найдем решение, которое изменит не только вашу улыбку, но и жизнь.
