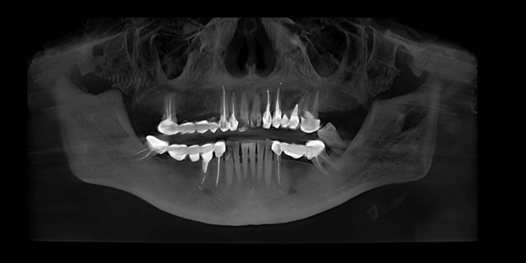
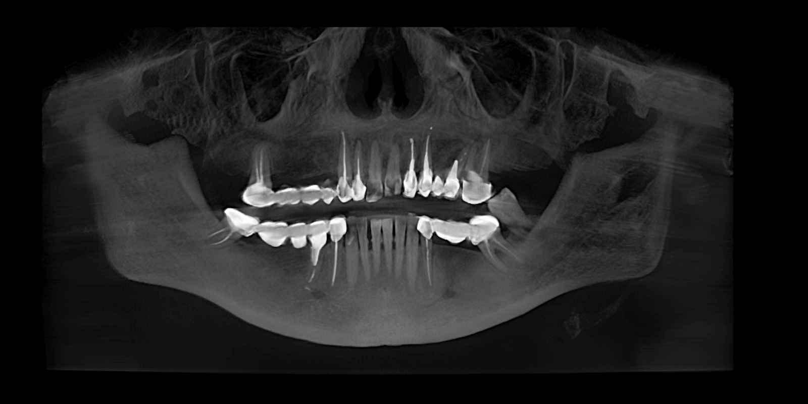
Пациентка обратилась в нашу клинику с жалобами на эстетический дефект зубного ряда, подвижность зубов и на боль в челюсти. Во время осмотра врач выявил:
- На верхней челюсти: 2 мостовидных протеза, 4 отсутствующих зуба, зубную коронку на зубе 2.6, также были обнаружены кариозные полости в двух передних зубах.
- На нижней челюсти: 2 мостовидных протеза и 4 отсутствующих зуба. Зуб 3.8 подвижен, контактирует с антагонистом на верхней челюсти.
Все ортопедические конструкции были из металлокерамики и подлежали замене по нескольким причинам:
- Неудовлетворительное состояние зубов под конструкциями, неудовлетворительный эстетический эффект, изношенность конструкций, необходимость удаления некоторых опорных зубов.
- Дополнительно, при изучении КТ, врач обнаружил гранулемы и кистогранулемы почти на всех опорных зубах под мостовидными конструкциями.
Итак, наша команда, которая в данном кейсе состояла из пародонтолога, эндодонтиста, терапевта, ортопеда и хирурга-имплантолога, составила следующий план лечения:
- Снять все ортопедические конструкции, провести тесты и выявить те зубы, которые мы можем сохранить.
- Провести эндолечение зубов, которые мы можем сохранить.
- Удалить зубы 2.5 и 3.8 в связи с высокой степенью подвижности и осложненным пародонтитом.
- Установить 4 зубных импланта на верхней челюсти и 3 на нижней.
- При протезировании учесть необходимость поднятия прикуса.
- Протезирование выполнить с применением мокап-модели.
- Применить временные зубные коронки и мосты с целью улучшения качества жизни пациентки на период реабилитации и для согласования будущей формы и размера зубов.
- Постоянные ортопедические конструкции выполнить из многослойного диоксида циркония.
Лечение состояло из следующих этапов:
1 ЭТАП
Обследование. План лечения
Провели КТ-исследование, на основе которого команда врачей составила план лечения, придерживаясь основных требований пациентки: "нужно сделать зубы быстро и красиво".
2 ЭТАП
Профессиональная гигиена полости рта
Каждое лечение начинаем с профессиональной гигиены, с целью снятия воспалительных процессов и очищения полости рта от патогенных бактерий. Особенно важно это делать перед имплантацией.
3 ЭТАП
Вторичное эндодонтическое лечение
За несколько посещений врач-ендодонтист выполнила вторичное лечение корневых каналов 12 зубов и провела лечение новообразования за верхушкой корня зуба (кисты).
4 ЭТАП
Хирургический
Удаление и имплантацию зубов провели за один этап. Операция проходила с применением местного обезболивания. После чего врач дал рекомендации и назначил медикаментозную терапию.
А наш водитель доставил пациентку домой с комфортом и в безопасности.
5 ЭТАП
Сканирование. Изготовление и примерка mock-up модели
Врач выполнил сканирование челюстей, перенес данные в программу, где смоделировал мокап-модель, затем напечатал ее и перенес в ротовую полость пациентки.
6 ЭТАП
Препарирование. Установка временных коронок
Через 3 дня обработали мокап-модель и провели препарирование зубов под постоянное протезирование. Подготовленные под препарирование зубы врач повторно отсканировал, после чего установил временные коронки.
7 ЭТАП
Фиксация постоянных коронок
Через неделю врач зафиксировал постоянные коронки и мостовидные протезы с опорой на имплантах и на собственных зубах.
ИТОГ ЛЕЧЕНИЯ
Лечение длилось около 1,5 месяцев.
Врачи, которые участвовали в лечении: Булыгина Лидия, Макаренко Максим, Калиберда Денис.
