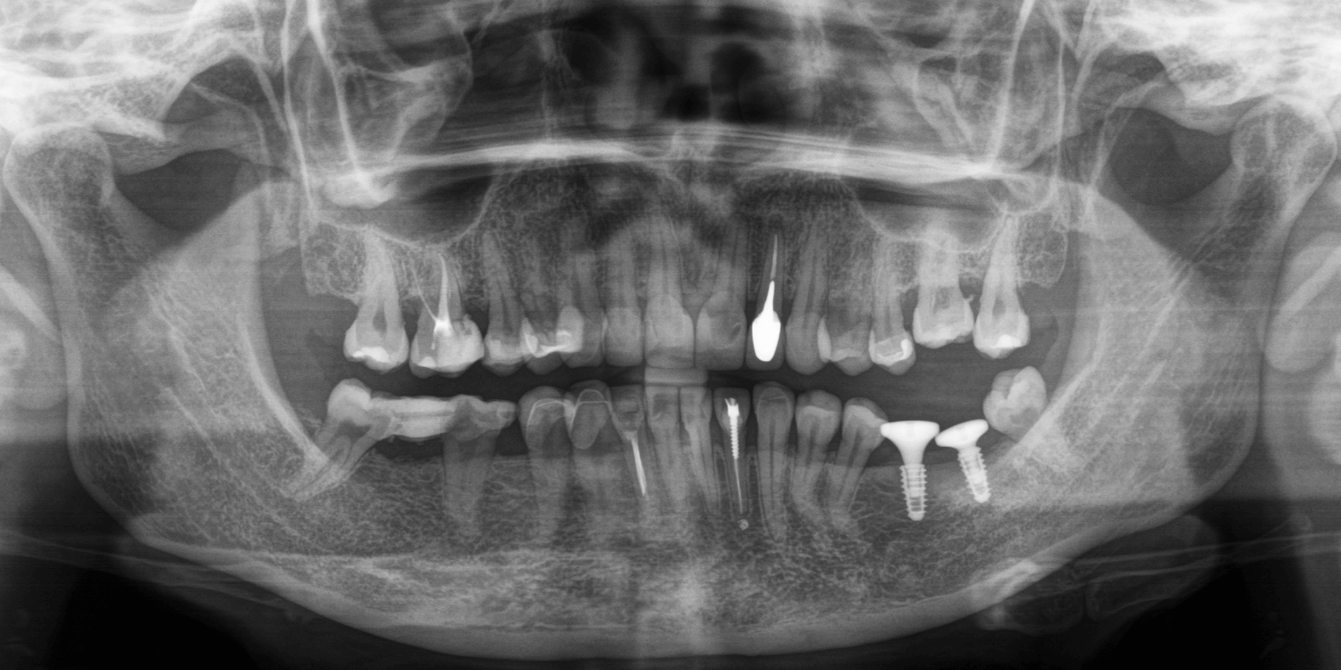
Впервые мы встретились с пациенткой примерно год назад. Тогда она обратилась к нам в клинику для проведения профессиональной гигиены полости рта и были жалобы на отсутствие зубов 6 и 7 на нижней челюсти слева. После КТ-исследования и осмотра обнаружили, что некоторые зубы (ранее протезировавшиеся) уже депульпированы. Практически все зубы были покрыты коронками, полукоронками и винирами. Относительно старые, но в удовлетворительном состоянии. Объем костной ткани позволял провести имплантацию зубов. Предложили установить зубные импланты методом двухэтапной имплантации на место отсутствующих зубов с дальнейшим протезированием цельнокерамическими коронками.
Пациентка согласилась на лечение, но на этапе планирования операции, захотела провести хирургическое вмешательство с применением общего обезболивания ("наркоза") из-за страха боли, однако нашему хирургу удалось договориться с ней об операции по имплантации без применения наркоза. Операция прошла быстро, комфортно и совершенно безболезненно.
Мы выполнили имплантацию "под ключ" и через некоторое время пациентка снова обратилась к нам с запросом на замену старых ортопедических конструкций во фронтальном участке зубного ряда, поскольку хотела зубы немного "более длинной формы", чем у нее были. Врач предложил выполнить работу путем примерки mock-up модели, чтобы учесть все пожелания по размеру и форме зубов, а также, чтобы пациентка могла примерить на себе будущие конструкции и походить с ними определенное время. Из-за интенсивного графика пациентка отказалась от такого предложения и примерки, и отметила, что ее полностью устраивает форма зубов, просто нужно сделать их немного длиннее и очень быстро.
Мы проделали работу, но через несколько дней, пациентка снова обратилась к нам несколько расстроенной. Находясь уже с готовыми керамическими конструкциями, она поняла, что хотела не просто более длинные, но и более светлые, более широкие, большие зубы в зоне улыбки. В этот раз врач все же настоял на примерке mock-up и пациентка также согласилась с целесообразностью данного метода. Предыдущую работу пришлось переделать, но оно того стоило. Довольная пациентка с искренней и красивой улыбкой этому подтверждение.
Весь путь лечения состоял из следующих этапов:
