К нам в клинику обратился пациент по рекомендации и с запросом на замену мостовидных протезов на верхней челюсти с обеих сторон и реставрацию фронтальных зубов. Ранее на месте отсутствующих зубов были установлены мостовидные протезы ("мосты"), но они были разрушены из-за того, что пациент активно занимается боксом и такие протезы не рассчитаны на постоянную высокую нагрузку. Требовалось восстановить зубы более надежным методом, учитывая хобби нашего пациента.
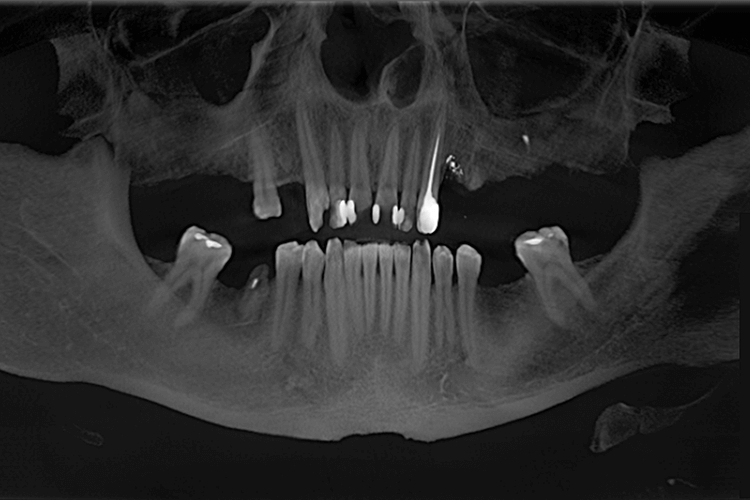
Во время проведения диагностики был обнаружен глубокий кариес фронтальных зубов, незначительная стертость фронтальных нижних зубов в связи с нарушением прикуса, а также отсутствовали нижние 6-е зубы с обеих сторон.
Корни зубов, которые ранее служили опорой для мостов на верхней челюсти, были разрушены и подлежали удалению, также в области этих зубов обнаружили кистогранулемы.
Мы предложили следующий план лечения:
Лечение кариеса и эстетическая реставрация передних зубов. Удаление разрушенных зубов и установка 4‑х имплантов на верхней челюсти и 2‑х имплантов на нижней на месте отсутствующих зубов и протезирование отсутствующих зубов коронками E-max из дисиликата лития. Такими коронками покрыть как импланты, так и передние зубы верхней челюсти, а передние зубы нижней челюсти оставить без изменений, поскольку они были вполне здоровы.
