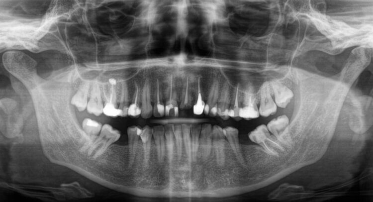
История этой пациентки началась 2 года назад. Тогда она обратилась с запросом на установку керамической коронки на передний зуб верхней челюсти. Проблема возникла на этапе выбора цвета, ведь все фронтальные зубы имели разный оттенок, присутствовали и керамические коронки, и металлокерамические коронки и фотополимерные реставрации, а также родные зубы оттенка А4 и А3,5. В тот раз выбрали промежуточный вариант по цвету и предложили в будущем, когда пациентка будет готова восстановить полностью зону улыбки.
Недавно в нашу клинику с запросом на полную замену зубов верхней челюсти пришла эта же пациентка. Врач провел осмотр и диагностику. Зубные каналы были в норме и не нуждались в лечении. Обнаружены стертые зубы и чтобы визуально их удлинить предложили провести лазерную коррекцию десенного края.
На нижней челюсти отсутствуют шестые зубы, которые нужно заместить имплантами. Поскольку на нижней челюсти будут коронки на импланте, за счет них можно будет поднять прикус и предотвратить стирание зубов в будущем.
Выбор цвета будущих зубных протезов пришелся на bleach white (белоснежно-белый). Напомним, что родной цвет зубов от «bleach white» отличается в 3-4 оттенка и сделав верхнюю челюсть в таком цвете, мы получим сильный контраст с нижней челюстью.
Учитывая все вышеперечисленное, наш врач предложил следующий план лечения: полная замена конструкций верхней челюсти от пятого до пятого зуба коронками и мостовидными протезами из дисиликата лития (Е-мах) через мокап, имплантация шестых зубов с обеих сторон нижней челюсти, покрытие имплантов коронками, и виниры на нижнюю челюсть во фронтальный участок, чтобы получить белоснежную улыбку и коррекцию прикуса путем протезирования. Пациентка согласилась.
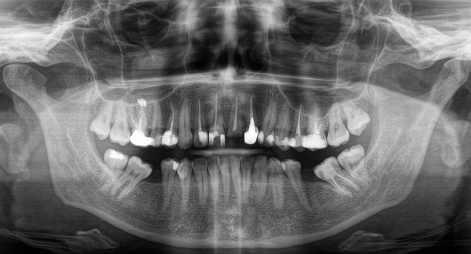
В процессе лечения наш специалист предложил внести правки, ведь во время моделирования после получения первичных сканов челюстей было обнаружено, что нижние седьмые зубы сместились в сторону отсутствующих «шестерок». Дефект отсутствующих зубов можно было закрыть с помощью зубных коронок, не прибегая к имплантации, что позволит существенно сократить время и стоимость лечения. Пациентка согласилась на такие изменения в плане и мы продолжили путь к белоснежной улыбке, но без имплантации.
Все лечение заняло 4 визита в клинику в течение 10 дней и состояло из следующих этапов:
