Видалення зуба мудрості
Зуби мудрості не завжди потребують видалення. Частина з них може повноцінно функціонувати роками, але при нестачі місця, неправильному положенні або частковому прорізуванні вони стають джерелом запалення, болю й ураження сусіднього зуба. У таких випадках видалення — це не “профілактика”, а лікування.
Перед прийняттям рішення оцінюється клінічна ситуація: чи є запалення, як розташовані корені, наскільки зуб близько до нерва, чи можна його якісно очищувати. Від цього залежить обсяг втручання — від простого видалення до складної хірургічної операції.
Коли потрібно видаляти зуб мудрості
Перикороніт (запалення навколо зуба)
Неправильне положення в кістці
Ураження сусіднього зуба
Ортодонтичні показання
Просте й складне видалення зуба
Складність визначається не розміром зуба мудрості, а його положенням у кістці, напрямком росту, формою коренів та близькістю до анатомічних структур (нижньощелепний нерв, гайморові пазухи). Перед втручанням ці параметри оцінюються клінічно та на рентгені або КТ, що дозволяє спрогнозувати обсяг операції.
Просте видалення зуба мудрості
Зуб мудрості повністю прорізаний, доступний для інструментів, кістка не перекриває коронку, а корені мають типову анатомію. У такому випадку немає потреби в розсіченні ясен або видаленні кісткової тканини.
Після анестезії зуб обережно вивільняється з лунки. За потреби в лунку закладається гемостатична губка для контролю кровотечі та стабілізації згустку. Шви зазвичай не накладаються, відновлення проходить швидше.
Складне видалення зуба мудрості
Зуб мудрості частково або повністю розташований у кістці (ретинований) або має неправильний напрямок росту (дистопований). Коронка може бути перекрита кісткою, а корені — близько до нерва або мати складну форму.
Для контрольованого доступу проводиться розсічення ясен, іноді — часткове видалення кістки. Зуб може розділятися на фрагменти, після чого в лунку закладається гемостатичний матеріал і накладаються шви. Відновлення довше.
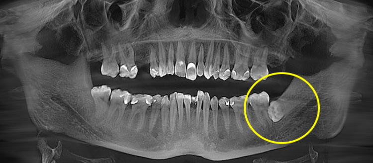
Видалення ретинованого зуба мудрості
Ретинований зуб мудрості — це зуб, який повністю або частково не прорізався й залишається в кістці чи під яснами. Такий зуб може тривалий час не турбувати, але створювати ризик запалення, ураження сусіднього моляра або формування кісти.
Перед видаленням обов’язково оцінюється його положення на рентгені або КТ: глибина залягання, кут нахилу, форма коренів та контакт із нижньощелепним нервом. Це дозволяє спланувати доступ і мінімізувати ризики.
Під час операції формується хірургічний доступ до зуба, за потреби проводиться часткове видалення кістки або розділення зуба на фрагменти для контрольованого вилучення. Після видалення лунка вичищається, промивається й закладається гемостатична губка, накладаються шви.
Відновлення зазвичай триває довше, ніж при простому видаленні, і може супроводжуватися набряком або обмеженням відкривання рота в перші дні.
Видалення дистопованого зуба мудрості
Дистопований зуб мудрості — це зуб, який прорізався або частково прорізався, але займає неправильне положення в зубному ряду. Найчастіше він нахилений у бік 7-го зуба, росте під кутом або зміщений у бік щоки чи язика.
Перед видаленням оцінюється його положення на рентгені або КТ: напрямок нахилу, форма коренів, контакт із сусіднім моляром і стан кісткової тканини. Це дозволяє зрозуміти, чи є ризик ураження 7-го зуба та обрати оптимальну техніку видалення.
Під час операції лікар обережно вивільняє зуб із лунки. Якщо зуб має виражений нахил або складну форму коренів, він може розділятися на фрагменти для контрольованого вилучення без надмірного тиску на кістку.
Після видалення лунка очищується від залишків тканин, промивається антисептичним розчином і за потреби закладається гемостатичний матеріал. Відновлення зазвичай супроводжується помірним набряком або дискомфортом у перші дні.
Вартість видалення зубів мудрості
Просте видалення зуба мудрості
від 2900 грн
Атипове видалення зуба мудрості
7400 грн
Інʼєкційна анестезія
500 грн
Гемостатична губка
800 грн
Ушивання лунки
800 грн
Оплата
В нас немає прихованих платежів. Оплата проводиться згідно з прайсом та погодженого плану лікування.
Ви можете розрахуватися готівкою або безготівково (через банківський термінал).
В нас можна отримати лікування за страховим випадком через страхову компанію та за договором з іншим підприємством.
Розташування клінік у Києві
Найзручніше дістатися до наших стоматологічних клінік можна з таких районів Києва:
У клініку за адресою: Київ, вул. Новомостицька, 25 Б - Виноградар, Куренівка, Оболонь, Сирець, Мінський масив.
У клініку за адресою: Київ, вул. Підвисоцького, 20 - Печерський район, ст. метро Звіринецька.
У клініку за адресою: Київ, вул. Ялинкова, 60/1 - Харківський масив, ст. м. Бориспільська, Червоний Хутір, Вирлиця, Харківська.
Етапи видалення зуба мудрості
Видалення зуба мудрості зазвичай включає 5 основних етапів. Конкретний обсяг втручання залежить від положення зуба, анатомії коренів і близькості до нерва, але загальна послідовність процедури виглядає так.

КТ та планування операції
Перед видаленням робимо комп’ютерну томографію на томографах Dentsply Sirona. КТ дозволяє оцінити положення зуба в кістці, форму коренів, їхню близькість до нижньощелепного нерва та спланувати безпечний доступ.

Видалення зуба
Якщо зуб частково або повністю знаходиться в кістці, може проводитися розсічення ясен або розділення зуба на фрагменти. У складних випадках застосовується ультразвуковий інструмент п’єзотом, який дозволяє працювати з кісткою більш делікатно.

Очищення лунки
Після вилучення зуба лунка очищується від залишків тканин і грануляцій. Це важливий етап, який зменшує ризик запалення та сприяє формуванню стабільного кров’яного згустку. Правильна обробка лунки створює умови для нормального загоєння тканин.

Обробка лунки та ушивання
Лунка промивається антисептичним розчином, після чого за потреби закладається гемостатична губка. Це допомагає стабілізувати кров’яний згусток і захистити рану. При складному видаленні краї ясен зближуються та накладаються шви.

Контроль загоєння
Після операції проводиться контрольний огляд, щоб оцінити стан лунки та процес загоєння. Перший огляд зазвичай відбувається приблизно на 3-й день. Якщо були накладені шви, їх знімають під час повторного візиту приблизно на 10–12 день.
Видалення зуба під наркозом
Видалення зуба під наркозом
Наркоз — це контрольований медикаментозний сон, в який пацієнт поринає шляхом введення внутрішньовенного анестетика зі штучною вентиляцією легень.
Видалення зуба під седацією
Цей метод допомагає пацієнтові розслабитись, увійти у стан розслаблення і сонливості при збереженій свідомості, після чого, лікар додатково знеболює зуб місцево.
Видалення зуба під місцевою анестезією
Знеболювальний препарат блокує шлях больових імпульсів до головного мозку. Таким чином, протягом певного часу мозок не сприймає біль у ділянці дії анестетика.
Відновлення після видалення зуба
Перші 24 години
2–3-й день
4–7-й день
2–3-й тиждень
Можливі ускладнення
Набряк і біль
Помірний набряк з’являється протягом перших 12–24 годин і досягає максимуму на третю добу. Це нормальна запальна реакція тканин на втручання. Біль контрольований знеболювальними та поступово зменшується з 3–4-го дня.
Якщо набряк продовжує збільшуватись після третьої доби або біль різко посилюється замість зменшення — це привід для огляду.
Кровотеча
Незначне підтікання крові можливе протягом кількох годин після операції. Кров’яний згусток у лунці є важливим для загоєння, тому його збереження принципове.
Тривала активна кровотеча, яка не зменшується після притискання стерильного тампона протягом 20–30 хвилин, потребує повторного огляду.
Суха лунка (альвеоліт)
Виникає приблизно у 2–5% випадків, частіше після видалення нижніх ретинованих зубів. Причина — руйнування або відсутність кров’яного згустку, який захищає лунку та забезпечує нормальне загоєння тканин.
Проявляється інтенсивним болем на 3–5 день після видалення, який може віддавати у вухо або скроню, неприємним запахом з рота та відчуттям «порожньої» лунки. Потребує місцевої обробки, очищення лунки та накладання лікувальної пов’язки в клініці.
Обмежене відкривання рота
Після складного видалення нижніх зубів можливий рефлекторний спазм жувальних м’язів. Пацієнту складно широко відкрити рот протягом 2–4 днів. Це пов’язано з реакцією м’язів і тканин на хірургічне втручання в ділянці нижньої щелепи.
Стан зазвичай минає поступово без додаткового лікування у міру зменшення набряку. Якщо обмеження відкривання рота не зменшується протягом кількох днів або супроводжується наростанням болю, потрібен контрольний огляд лікаря.
Часті запитання про видалення зуба мудрості
Чи можна видалити одразу два зуби мудрості?
Так, якщо клінічна ситуація дозволяє і пацієнт готовий до такого обсягу втручання. Найчастіше видаляють два зуби з одного боку — це не ускладнює жування в період відновлення.
При складних ретинованих зубах або за бажанням пацієнта можливе видалення під седацією чи загальним наркозом.
Що буде, якщо не видалити зуб мудрості?
Якщо зуб розташований неправильно або частково прорізаний, він може спричиняти хронічне запалення ясен (перикороніт), руйнування сусіднього 7-го зуба або формування кісти.
Іноді симптомів довго немає, але патологія розвивається поступово. Рішення приймається не “на всяк випадок”, а за клінічними показаннями після діагностики.
Як зрозуміти, що треба видаляти зуб мудрості?
Показанням є повторні запалення, біль, тиск на сусідній зуб, карієс, який неможливо якісно лікувати, або ризик ураження кістки. Ключову роль відіграє рентген або КТ — саме вони показують положення коренів і близькість до нерва.
Якщо зуб повністю прорізаний і не створює проблем — видалення не є обов’язковим.
Як зрозуміти, що ріжеться зуб мудрості?
З’являється локальний біль у задній ділянці щелепи, набряк ясен або відчуття тиску. Може бути дискомфорт при ковтанні чи відкриванні рота.
Якщо над зубом формується “капюшон” з ясен і виникає запалення — потрібен огляд.
Скільки днів триває біль після видалення зуба мудрості?
Помірний біль триває зазвичай 1–3 дні і поступово зменшується. Пік набряку і дискомфорту припадає на третю добу.
Якщо біль посилюється на 3–5 день замість зменшення — це може свідчити про суху лунку і потребує огляду.
Скільки триває операція по видаленню зубів мудрості?
Просте видалення повністю прорізаного зуба займає приблизно 10–20 хвилин.
Складне або атипове видалення може тривати 30–60 хвилин, залежно від анатомії. Час підготовки до седації чи наркозу додається окремо.
Що таке атипове видалення зубів?
Атипове (складне) видалення зубів мудрості проводиться, коли зуб повністю або частково знаходиться в кістці, має нетипове положення або близький контакт із нервом.
У таких випадках виконується розсічення ясен, іноді часткове видалення кісткової тканини або розділення зуба на фрагменти. Після процедури накладаються шви.
Яка анестезія при видаленні зуба мудрості?
Стандартно використовується місцева анестезія — пацієнт не відчуває болю під час процедури.
Для нижніх зубів застосовується провідникова анестезія, яка блокує нерв у ділянці щелепи.
За показаннями можливі седація або загальний наркоз — це актуально при страху, складних випадках або видаленні кількох зубів одночасно.