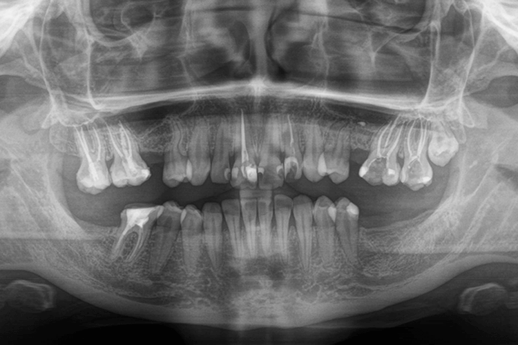
До нас в клініку звернулась пацієнтка з наступною проблемою: вторинна адентія, відсутність 5 зубів. Задача полягала не тільки у відновленні функціональності зубів, а й в покращенні усмішки в цілому.
Відновлення зубів лікарі мали виконати у найкоротші терміни.
Тож, лікарі: хірург, ортопед, пародонтолог, ендодонт та ортодонт провели огляди, діагностику та спільну консультацію після отриманих результатів.
Оскільки зуби були втрачені досить давно (2 роки тому), відбулись анатомічні зміни будови щелеп, а антагоністи відсутніх зубів висунулись вниз. Було запропоновано повернути їх в оклюзію (змикання) за допомогою брекет-системи, але термін такого лікування не влаштовував пацієнтку, тож цей план лікування далі ми не розвивали. Тоді запропонували депульпувати верхні зуби з обох боків та вкрити коронками, тобто виправити прикус ортопедичним методом.
Для відновлення відсутніх зубів нижньої щелепи запропонували встановити зубні імпланти (3 одиниці), після чого провести їх протезування керамічними коронками, а відсутні зуби верхньої щелепи відновити за допомогою мостоподібних конструкцій з опорою на сусідні зуби. Узгодили план лікування, але в процесі після установки зубних імплантів, пацієнтка звернулась до лікаря з проханням встановити зубні вініри. Нижче ми розповімо про всі етапи лікування.
