До нас у клініку звернулася пацієнтка, якій лікар Максим Макаренко виконував протезування металокерамічними мостовидними конструкціями, близько 15 років тому. Пацієнтка не зверталась до стоматологів всі ці роки, оскільки її нічого не турбувало, за винятком кількох розцементувань.
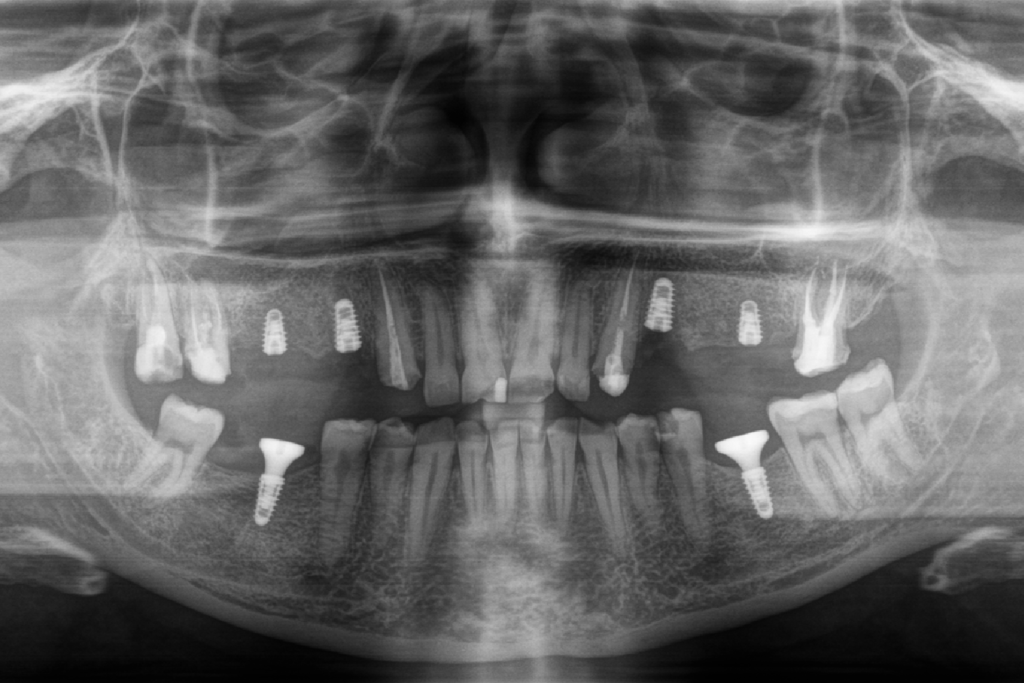
На цей раз, пацієнтка звернулась зі скаргою на розцементування конструкцій. Під час діагностики було виявлено переломи зубного коріння четвертого зуба зліва, пʼятого зуба справа на верхній щелепі, а також патологічне стертя зубів внаслідок порушення прикусу.
Після співбесіди з лікарем, враховуючи побажання пацієнтки, було запропоновано наступний план лікування:
- Зняття старих ортопедичних конструкцій.
- Видалення зубного коріння 6 зубів з одномоментною імплантацією зубів у відповідних ділянках.
- Протезування зубів керамічними коронками та мостовидними протезами (на верхній щелепі) з дисилікату літію E-max. Врахувати при протезуванні корекцію прикусу ортопедичним методом.
- Виконати художню реставрацію стертих зубів у фронтальній ділянці нижньої щелепи.
- Роботу з протезування виконати із застосуванням mock-up моделі.
Пацієнтка погодилася і ми розпочали лікування яке складалось з наступних етапів:
1 ЕТАП
Консультація та діагностика
Огляд лікаря, повна діагностика ротової порожнини та узгодження плану лікування.
2 ЕТАП
Операція з видалення та імплантації
Лікар видалив залишки зубних коренів на верхній та нижній щелепі, одномоментно встановив у лунки шість зубних імплантів Straumann BLX та шість формувачів ясен. Операція тривала півтори години.
3 ЕТАП
Реабілітація та інтеграція імплантів
Пацієнтка завітала на сьомий день для зняття хірургічних швів. До цього часу перебувала з лікарем на зв’язку з метою контролю процесу реабілітації.
4 ЕТАП
Сканування та моделювання
В день зняття швів виконали сканування щелеп інтраоральним сканером Sirona. На основі цих даних лікар змоделював модель майбутніх зубів (з урахуванням підняття прикусу на 4 мм) для друку mock-up моделі. Після узгодження з пацієнткою надрукували модель.
5 ЕТАП
Виготовлення тимчасових коронок
У цей же день лікар переніс модель у ротову порожнину. Вона слугуватиме тимчасовими коронками для пацієнтки, яка матиме змогу звикнути до форми зубів і у разі необхідності внести правки перед виготовленням постійних ортопедичних конструкцій.
6 ЕТАП
Фіксація керамічних коронок та художня реставрація зубів
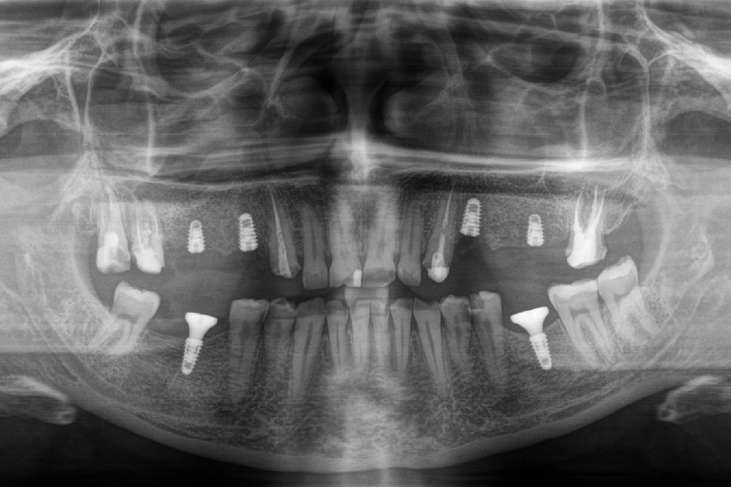
Оскільки пацієнтка не вносила корективи щодо майбутніх зубів і первинна робота лікаря повністю її задовольнила, то через 3 місяці після перенесення mock-up вона знову завітала до клініки, де для неї вже були виготовлені постійні ортопедичні конструкції. За один візит зняли mock-up модель, встановили постійні мостовидні протези та зубні коронки E-max на верхній та нижній щелепі, а також виконали художню реставрацію зубів. Цей візит тривав 3 години.
ПІДСУМОК
Все лікування тривало трохи менше ніж 3,5 місяця та складалось з 4 візитів, включаючи первинний (консультацію).
