Пацієнтка звернулась до нас перед початком ортодонтичного лікування. Основна мета — підготувати зуби до вирівнювання і прибрати фактори, які в майбутньому могли б заважати брекетам або ускладнити рух зубів.
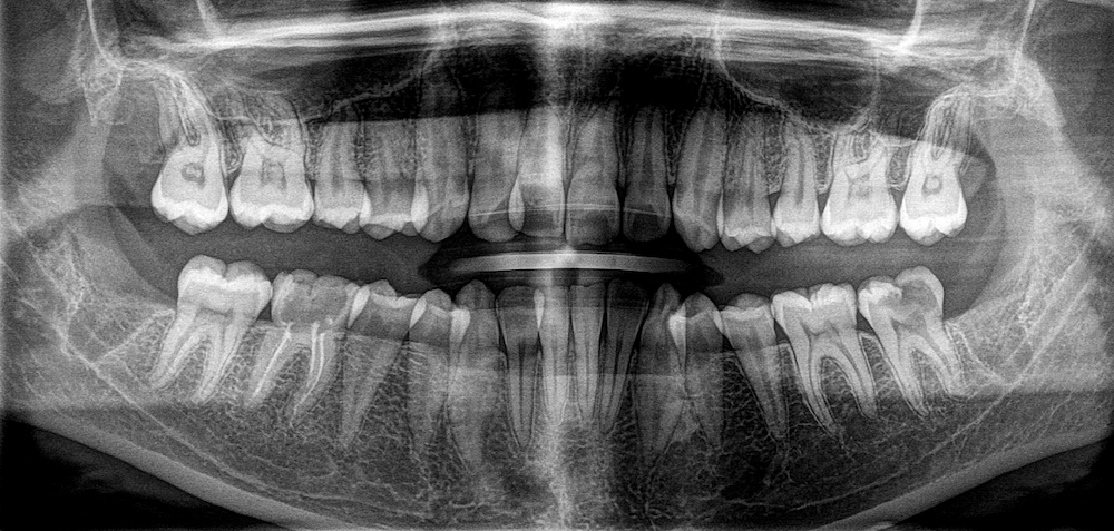
Під час огляду та рентгенологічної діагностики лікарка побачила всі чотири зуби мудрості. Вони ще не були повністю сформовані, але вже мали положення, яке потенційно могло ускладнювати ортодонтичне лікування і вимагало окремої оцінки перед початком лікування.
Важливий момент: зуби мудрості не завжди потрібно видаляти. Але перед ортодонтичним лікуванням їх оцінюють особливо уважно — за положенням, напрямком росту, стадією розвитку коренів і тим, чи можуть вони заважати переміщенню зубів.
У цьому випадку було прийнято рішення видалити всі чотири восьмі зуби за два етапи.
- На верхній щелепі зуби мудрості ще були на ранній стадії розвитку: коронкова частина вже сформувалась, а корені ще ні.
- На нижній щелепі корені вже формувались активніше, але ще не були повністю завершені.
Саме такий період часто є більш сприятливим для видалення: зуб уже можна чітко визначити на знімку, але корені ще не стали довгими й складними за формою. Це може зробити втручання менш травматичним і більш прогнозованим.
Що було зроблено
Під час операції основний акцент був на тому, щоб працювати максимально обережно: мінімізувати травму навколишніх тканин, не створювати зайвого навантаження на кістку та забезпечити нормальне загоєння після втручання.
Оскільки зуби перебували на різних стадіях розвитку, кожну ділянку оцінювали окремо. Це не було “однакове видалення чотирьох зубів”, а чотири різні анатомічні ситуації в межах одного хірургічного етапу.
Післяопераційний період
Відновлення пройшло спокійно, без ускладнень. Після втручання пацієнтка отримала індивідуальні рекомендації щодо догляду, харчування, гігієни та контролю дискомфорту. Медикаменти, зокрема антибіотики, призначаються лише за показаннями після оцінки ризику інфекційних ускладнень, алергій і супутніх станів.
Загоєння відбувалося добре, без ознак запалення.
Підсумок
У цьому випадку все зробили вчасно — до того, як зуби мудрості почали створювати проблеми. Саме тому подальше ортодонтичне лікування проходить без зайвих ускладнень і перерв.
Є сумніви щодо зубів мудрості?
Запишіться на консультацію: зробимо КТ-знімок, пояснимо ситуацію простими словами і скажемо чесно, чи потрібне видалення саме у вашому випадку.
